درمان ریشه دندان یکی از مهم ترین روشهای دندانپزشکی برای حفظ دندان هایی بوده که به دلیل پوسیدگی شدید یا عفونت دچار آسیب شده اند. هنگامی که پالپ (بافت نرم داخل دندان) ملتهب یا عفونی شود، احساس درد و ناراحتی شدیدی می کنید. اگر این عارضه درمان نشود، عفونت گسترش یافته و باعث از بین رفتن دندان می شود. در این مقاله، به بررسی مراحل درمان ریشه، دلایل نیاز به این درمان، علائم، مزایا و عوارض احتمالی آن و همچنین مراقبت های بعد از درمان خواهیم پرداخت پس با ما همراه باشید.
درمان ریشه دندان چیست؟

درمان ریشه دندان یکی از موثرترین روش ها برای نجات دندان هایی بوده که به دلیل پوسیدگی عمیق، ترک خوردگی یا آسیب های دیگر دچار عفونت شده اند. بهتر است بدانید درون هر دندان، یک بافت نرم به نام پالپ وجود دارد که شامل اعصاب و عروق خونی است.
هنگامی که این پالپ دچار التهاب یا عفونت شود، ممکن است درد شدید، حساسیت به گرما و سرما، تورم لثه و حتی آبسه ایجاد شود. بنابراین در این شرایط، درمان ریشه دندان ضروری بوده زیرا باعث جلوگیری از پیشرفت عفونت و از دست رفتن دندان می شود. این درمان شامل برداشتن پالپ عفونی، پاکسازی کانال های ریشه و پر کردن آنها با مواد مخصوص است.
علائم نیاز به درمان تخصصی ریشه دندان
هنگامی که پالپ دندان به دلیل پوسیدگی عمیق، ترک خوردگی یا ضربه دچار التهاب و عفونت شود، انجام درمان ریشه دندان ضروری است. بهتر است بدانید در برخی موارد آسیب به دندان از بیرون قابل مشاهده نبوده اما موجب درد شدید و مشکلات جدی تری می شود. برخی از علائم نیاز به درمان ریشه دندان به شرح زیر است:
- تغییر رنگ دندان
- درد شدید و مداوم
- تورم و التهاب لثه
- ایجاد آبسه یا ترشح چرک
- ترک خوردگی یا شکستگی دندان
- حساسیت شدید به گرما و سرما
- احساس درد هنگام جویدن یا فشار آوردن به دندان
- ترشح چرک از دندان آسیب دیده
بیشتر بخوانید: پر کردن دندان با آمالگام بهتره یا کامپوزیت
- سیاه شدن لثه
- پوسیدگی شدید دندان
- لق شدن دندان
انواع روش های درمان ریشه دندان

لازم به ذکر است با توجه به شدت عفونت، میزان آسیب دیدگی و وضعیت دندان روشهای مختلفی برای درمان ریشه وجود دارد که به تشخیص بهترین دندانپزشک تهران انتخاب می شود. به طور کلی مهمترین روشهای درمانی شامل موارد زیر می باشند:
- جراحی اپیکو (اپیکوکتومی): در صورتی که درمان های غیرجراحی موثر نباشند و عفونت باقی بماند، با انجام یک جراحی کوچک انتهای ریشه و بافت آلوده برداشته می شود.
- درمان ریشه مجدد (ری اندو): در صورتی که درمان اولیه موفقیت آمیز نباشد و مجددا عفونت ایجاد شود، این روش برای پاکسازی و پر کردن مجدد کانال های ریشه مورد استفاده می شود.
- پالپوتومی: این روش بیشتر برای دندان های شیری یا برخی موارد خاص از دندان های دائمی انجام می شود. در این روش فقط قسمت تاج پالپ که عفونی شده، برداشته می شود و پالپ سالم باقی می ماند.
- عصب کشی (اندو): رایج ترین روش درمانی، عصب کشی دندان بوده که در آن پالپ عفونی از کانال های ریشه خارج شده و دندان تمیز و ضدعفونی می شود و در نهایت با مواد مخصوص پر می گردد.
- پالپکتومی: در این روش، تمام پالپ دندان چه در تاج و چه در ریشه خارج شده و با ماده ای مخصوص جایگزین می شود. بهتر است بدانید این روش زمانی انجام می شود که عفونت به عمق ریشه نفوذ کرده و روش پالپوتومی موثر نباشد.
نحوه انجام و مراحل درمان ریشه دندان

زمانی که پوسیدگی یا آسیب دندان عمیق می شود و به عصب می رسد، تنها راه نجات دندان، درمان ریشه است. این درمان علاوه بر رفع درد و عفونت، از کشیدن دندان نیز جلوگیری می کند. درمان ریشه یک فرآیند تخصصی است که طی چند مرحله دقیق انجام می شود تا دندان سالم و قابل استفاده باقی بماند. درمان ریشه نیز شامل چند مرحله بوده که برای حذف عفونت و حفظ ساختار دندان انجام می شود. این مراحل شامل موارد زیر است:
بررسی و تشخیص دندان ها
ابتدا دندانپزشک، دندان آسیب دیده را معاینه کرده و برای بررسی میزان آسیب دیدگی و تعداد کانال های ریشه، از روشهای تصویربرداری رادیوگرافی یا اشعه ایکس استفاده می کند.
بی حسی موضعی
جهت کاهش درد و ایجاد راحتی شما عزیزان، بی حسی موضعی تزریق می شود تا ناحیه اطراف دندان بی حس شود تا در حین درمان هیچگونه دردی احساس نکنید.
ایجاد دسترسی به ریشه
دندانپزشک با ایجاد یک سوراخ کوچک در تاج دندان، به پالپ عفونی دسترسی پیدا می کند تا مراحل بعدی درمان را انجام دهد.
تخلیه پالپ عفونی و تمیز کردن کانال ریشه
بعد از باز کردن کانال های ریشه، پالپ آسیب دیده و عفونی از داخل دندان خارج می شود. سپس کانال های ریشه با ابزارهای مخصوص و محلول های ضدعفونی کننده تمیز و شسته می شوند تا عفونت باقی مانده از بین برود.
بیشتر بخوانید: پر کردن دندان بعد از عصب کشی
پر کردن کانال ریشه
بعد از ضدعفونی کامل، کانال های دندان با ماده ای به نام گوتاپرکا پر می شوند. این ماده زیست سازگار بوده و از نفوذ مجدد میکروب ها جلوگیری می کند.
قرار دادن پانسمان موقت
بعد از پر کردن کانال، یک پانسمان موقت روی تاج دندان قرار داده می شود تا از آن محافظت کند. بعد از این مرحله، دندان برای بازسازی نهایی آماده می گردد.
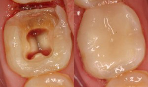
بازسازی نهایی دندان
بعد از بهبودی دندان، ترمیم دائمی مانند پر کردن دائمی، بیلداپ یا روکش دندان انجام می شود تا استحکام و عملکرد طبیعی دندان حفظ گردد. لازم به ذکر است این فرآیند طی یک یا دو جلسه انجام می شود و در نهایت، با مراقبت صحیح، دندان ها تا سال ها بدون مشکل باقی می ماند.
تعداد جلسات و مدت زمان درمان ریشه

معمولا درمان ریشه دندان بین ۱ تا ۳ جلسه طول می کشد، اما بسته به شدت پوسیدگی و تعداد کانال ها ممکن است بیشتر شود. هر جلسه درمان ریشه حدود ۳۰ تا ۹۰ دقیقه طول می کشد. در نتیجه، تعداد کانال های دندان، میزان عفونت یا پوسیدگی، نیاز به بی حسی بیشتر و تجهیزات دندانپزشکی مدت زمان جلسات را تغییر می دهد.
چه زمانی درمان ریشه دندان لازم است؟
در برخی موارد بعد از درمان اولیه مشکلاتی اعم از عدم تخلیه کامل عفونت، پوسیدگی مجدد دندان یا ایجاد عفونت رخ می دهد، به همین دلیل دندان ها نیاز به درمان مجدد دارند. همانطور که در بالا ذکر کردیم برای تشخیص این مشکلات باید رادیوگرافی دندان انجام شود تا میزان عفونت و نیاز به درمان مجدد مشخص گردد. به طور کلی دلایل نیاز به درمان مجدد ریشه دندان به شرح زیر است:
- پوسیدگی مجدد دندان بعد از درمان اولیه
- ترک خوردگی یا شکستگی دندان و ورود باکتری ها
- عدم تخلیه کامل پالپ و میکروب ها در درمان اول
- باقی ماندن عفونت یا عدم بهبودی کامل کانال های ریشه
بیشتر بخوانید: پر کردن دندان با کامپوزیت
مزایای درمان ریشه چیست؟
درمان ریشه دندان نه تنها درد و عفونت را برطرف می کند، بلکه مزایای بسیاری برای حفظ سلامت و زیبایی دندان ها دارد. مزایای آن عبارت اند از:
- حفظ دندان طبیعی: با درمان ریشه، دندان هایی با ساختار سالم و قابل استفاده، جایگزین کشیدن دندان می شوند.
- جلوگیری از گسترش عفونت: منبع عفونت از بین می رود و به سایر دندان ها و لثه منتقل نمی شود.
- بهبود عملکرد جویدن: فرد بدون درد غذا را راحت تر می جود.
- زیبایی لبخند: ظاهر لبخند حفظ می شود و از خالی شدن دندان جلوگیری می گردد.
مراقبت های بعد از درمان ریشه دندان

بعد از درمان ریشه دندان، رعایت مراقبت های ذکر شده در زیر نقش بسزایی در بهبود سریع تر و جلوگیری از بروز مشکلات جدی دارد. اقدامات بعد از درمان ریشه دندان به شرح زیر است:
- عدم مصرف نوشیدنی ها و غذاهای بسیار داغ یا سرد
- استفاده از داروهای مسکن ها در صورت احساس درد
- مراجعات منظم به دندانپزشک برای بررسی وضعیت دندان
- پرهیز از غذاهای سفت و چسبنده تا زمانی که دندان به طور کامل ترمیم نشده است.
- مسواک زدن با دقت و اجتناب از نخ دندان تا زمانی که پانسمان روی دندان قرار دارد.
- مصرف منظم داروهای تجویز شده توسط دندانپزشک برای کاهش التهاب و جلوگیری از عفونت.
هزینه درمان ریشه دندان چقدر است؟
هزینه درمان ریشه برای همه افراد یکسان نیست و به عوامل مختلفی بستگی دارد. مهم ترین مواردی که روی قیمت تاثیر می گذارند؛ عبارت اند از:
- تعداد کانال های دندان: هرچند کانال بیشتر باشند (قدامی یک، پرمولر دو، مولر سه یا چهار)، هزینه بالاتر می شود.
- میزان پوسیدگی یا عفونت: عفونت یا پوسیدگی شدید درمان را پیچیده تر و پرهزینه تر می کند.
- نیاز به روکش دندان: دندان های عصب کشی شده اغلب نیاز به روکش دارند که هزینه جداگانه دارد.
- تجربه دندانپزشک و تجهیزات: استفاده از روش ها و ابزارهای پیشرفته و مهارت پزشک روی قیمت اثر دارد.
هزینه درمان ریشه ممکن است بین ۲ تا ۹ میلیون تومان متغیر باشد.
تفاوت درمان ریشه و عصب کشی
| مورد | عصب کشی دندان | درمان ریشه دندان |
| توضیح مختصر | فرایند کلی برای حذف عصب و بافت آسیب دیده از داخل دندان | یکی از مراحل عصب کشی که شامل پاکسازی و پر کردن کانال های ریشه است. |
| گستره درمان | اصطلاح جامع که همه مراحل ( از باز کردن دندان تا پر کردن کانال ها و ترمیم) را شامل می شود. | بخشی از همین درمان که فقط روی کانال های ریشه تمرکز دارد. |
| کاربرد | واژه ای کلی که در بین مردم و حتی دندانپزشکان برای کل فرایند استفاده می شود. | اصطلاح دقیق تر که جنبه علمی تری دارد. |
نکات مهم درمان ریشه دندان که باید به آن توجه داشته باشید!
- مراجعه به موقع برای درمان
- انتخاب دندانپزشک متخصص برای بهره مندی از درمانی موفق
- پیگیری جلسات درمان برای پیشگیری از عفونت و شکستن دندان
- استفاده از روکش پس از درمان برای جلوگیری از شکستگی دندان
- مراقبت های بعد از درمان برای بهبود سریع
- مراجعه به دندانپزشک در صورت احساس درد و عفونت
بیشتر بخوانید: بهترین مواد پرکردن دندان
نتیجه گیری؛ درمان ریشه دندان؛ تنها راه نجات دندان پوسیده
درمان ریشه روشی موثر برای حفظ دندان های آسیب دیده و جلوگیری از عفونت های جدی است. با رعایت مراقبت های بعد از درمان می توان عمر دندان را طولانی تر کرد. برای دریافت مشاوره تخصصی و انجام درمان ریشه با بهترین کیفیت، هم اکنون با دکتر سیمین برنگی تماس بگیرید و دندان های خود را ایمن و سالم نگه دارید.
سوالات متداول
آیا درمان ریشه دندان درد دارد؟
با بی حسی موضعی درد ندارد و ناراحتی خفیف بعد از درمان طبیعی است.
آیا دندان بعد از درمان ریشه ضعیف می شود؟
دندان کمی شکننده تر می شود و اغلب نیاز به روکش برای محافظت دارد.
آیا درمان ریشه تنها راه حفظ دندان است؟
اگر عفونت به پالپ رسیده باشد، درمان ریشه بهترین راه حفظ دندان است.
بعد از درمان ریشه دندان چه مدت طول می کشد تا درد برطرف شود؟
معمولا چند روز بعد درد کاهش می یابد، در صورت احساس درد شدید باید به دندانپزشک مراجعه کرد.
آیا دندان بعد از درمان ریشه، نیاز به روکش دارد؟
بله؛ برای افزایش دوام و جلوگیری از شکستگی، اغلب دندان روکش می شود.





