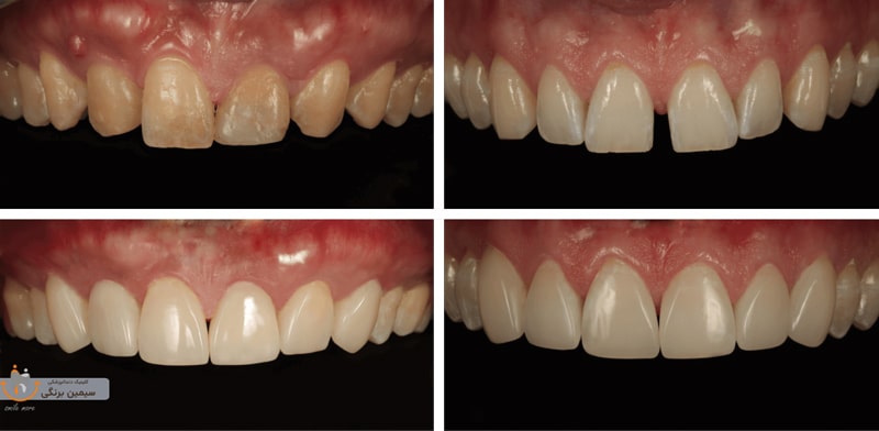
در سالهای اخیر، کامپوزیت ونیر بهعنوان یکی از سریعترین و کمتهاجمیترین روشها برای بهبود ظاهر دندانهای کج مطرح شده است. این روش بدون نیاز به ارتودنسی طولانیمدت، میتواند در مدت زمانی کوتاه، ظاهر لبخند را اصلاح کرده و دندانها را صافتر و هماهنگتر نشان دهد.
کامپوزیت مناسب افرادی است که نامنظمی دندانهایشان خفیف تا متوسط باشد و قصد دارند بدون تراش زیاد دندان، تغییر زیبایی قابل توجهی ایجاد کنند. البته لازم است بدانیم که کامپوزیت جایگزین ارتودنسی نیست، اما در موارد مناسب میتواند راهحلی سریع، مقرونبهصرفه و زیباشناسانه برای اصلاح لبخند باشد.
در این مقاله بررسی می کنیم که کامپوزیت برای چه نوع کجی هایی قابل انجام است، چه مزایا و محدودیت هایی دارد، و چگونه می توان تشخیص داد که بهترین انتخاب برای شما چیست.
| موضوع | نکات خلاصه و نکات مهم |
| تعریف کامپوزیت دندان کج | اصلاح ظاهر دندانهای نامنظم با اضافه کردن مواد کامپوزیت و بدون تراش زیاد |
| مناسب برای | نامرتبیها و مشکلات خفیف تا متوسط – نه کجیهای شدید |
| مراحل انجام | ۱. معاینه و انتخاب رنگ ۲. قرار دادن مواد روی دندان ۳. فرمدهی و اصلاح ظاهر |
| زمان انجام | سریع – معمولاً در چند جلسه کوتاه |
| تغییراتی که ایجاد میشود | اصلاح فاصلهها، صافتر شدن ظاهر، زیباتر شدن لبخند |
| مزایا | ظاهر زیباتر، عدم آسیب جدی به دندان، نتیجه سریع، قابلیت ترمیم و تعویض، راحتی بعد از کار |
| عوارض احتمالی | حساسیت موقت، تغییر رنگ با گذشت زمان، احتمال شکستگی، نیاز به ترمیم دورهای، نیاز به مراقبت بیشتر |
| مراقبتهای مهم | پرهیز از غذاهای سخت، کاهش مصرف قهوه و چای، رعایت دقیق بهداشت دهان |
| طول عمر تقریبی | چند سال بسته به نوع کامپوزیت و میزان مراقبت |
| موارد غیرقابل انجام | کجیهای شدید – در این موارد اول ارتودنسی توصیه میشود |
| مقایسه با لمینت | کامپوزیت کمتهاجمیتر و ارزانتر – لمینت زیباتر و ماندگارتر اما همراه با تراش بیشتر |
کامپوزیت دندان کج چیست؟
کامپوزیت می تواند دندان های کج یا کمی نامرتب را بدون ارتودنسی و در مدت زمان کوتاهتر اصلاح کند. در این روش با اضافه کردن لایه کامپوزیت روی سطح دندان، ظاهر دندان صاف تر و هماهنگ تر به نظر میرسد، اما جای واقعی دندان در فک تغییر نمیکند. بنابراین کامپوزیت برای نامرتبی های خفیف مناسب است، اما اگر دندان ها خیلی کج باشند، روی هم قرار گرفته باشند یا مشکل بایت وجود داشته باشد، ارتودنسی یا درمان ترکیبی نتیجه صحیح تری خواهد داد. این روش سریع، کم درد و نسبتاً مقرون به صرفه است و بیشتر جنبه زیبایی دارد.
چه عواملی باعث کج شدن دندان ها می شود؟

دلایل متعددی میتوانند باعث کج شدن یا نامرتبی دندان ها شوند، از جمله:
۱. ژنتیک
کج بودن دندانها میتواند کاملاً وراثتی باشد. عواملی مانند شلوغی دندان ها، اندازه یا شکل فک، وجود دندانهای اضافی (Hyperdontia)، اوربایت، آندربایت و رشد ناقص دندان یا کام، همگی میتوانند از والدین به ارث برسند.
۲. بهداشت نامناسب دهان و دندان
عدم رعایت بهداشت دهان میتواند منجر به التهاب لثه (جینجیویت) شود. طبق گزارش Journal of Dental Research تقریباً نیمی از بزرگسالان بالای ۳۰ سال در آمریکا درجاتی از بیماری لثه دارند. اگر جینجیویت درمان نشود، میتواند به پریودنتیت، یعنی مرحله شدیدتر بیماری لثه تبدیل شود که باعث لق شدن، جابهجایی یا حتی از دست رفتن دندانها میشود.
۳. از دست رفتن زودهنگام دندان شیری
اگر در کودکی یک دندان شیری زودتر از زمان طبیعی افتاده باشد، فضای خالی ایجاد شده به دندانهای دیگر اجازه جابهجایی میدهد. این جابهجایی، فضای رویش دندان دائمی را محدود کرده و میتواند باعث کجی دندانها شود.
۴. مکیدن انگشت
عادت مکیدن انگشت یا اشیاء در کودکی میتواند یکی از دلایل کج شدن دندانها در بزرگسالی باشد.
۵. فشار زبان (Tongue Thrusting)
در هنگام بلع، زبان باید به سقف دهان و پشت دندانهای جلویی فشار بیاورد. اگر زبان به جای آن به دندانها فشار وارد کند، این عادت بهمرور زمان میتواند باعث کج شدن دندانها شود.
بیشتر بخوانید: کامپوزیت دندان خرگوشی
۶. سوءتغذیه
کمبود مواد مغذی میتواند بر رشد عضلات، استخوانها و بافتهای دهان تأثیر بگذارد. در نتیجه، سوءتغذیه ممکن است یکی از عوامل نامرتبی دندانها باشد.
۷. تنفس دهانی
تنفس دهانی در کودکان ممکن است بر رشد فک و نحوه قرارگیری دندانها تأثیر گذاشته و باعث کجی دندانها شود.
۸. ضربه یا آسیب
آسیب های ناشی از ورزش یا حوادث میتوانند باعث جابهجایی یا نامرتبی دندانها شوند.
آیا دندان های کج را می توان کامپوزیت کرد؟

بله؛ انجام کامپوزیت برای دندانهای کج امکانپذیر است، اما میزان موفقیت آن کاملاً به درجه نامنظمی دندانها بستگی دارد. زمانی که کجی دندانها خفیف تا متوسط باشد، کامپوزیت میتواند بدون نیاز به ارتودنسی، ظاهر دندانها را صافتر و هماهنگتر نشان دهد. در این روش، مواد کامپوزیتی همرنگ دندان روی سطح دندان قرار گرفته و با ظرافت شکل داده میشوند تا نامرتبی جزئی پنهان شود و لبخند ظاهری مرتبتر پیدا کند.
با این حال، اگر میزان کجی زیاد باشد، کامپوزیت بهتنهایی نمیتواند جایگزین مناسبی برای درمانهای تخصصیتر مانند ارتودنسی باشد. ارتودنسی با جابهجایی واقعی دندانها، آنها را در موقعیت صحیح قرار میدهد و نتیجهای پایدار و اصولی به همراه دارد.
به همین دلیل، پیش از تصمیمگیری، مشاوره با دندان پزشک ضروری است. متخصص با معاینه دقیق میتواند تشخیص دهد که آیا کامپوزیت برای نوع کجی دندانهای شما مناسب است یا روشهای دیگری نتیجه بهتری ایجاد میکنند. این ارزیابی کمک میکند بهترین و مؤثرترین روش زیبایی یا درمانی انتخاب شود.
مراحل انجام کامپوزیت دندان کج
- مشاوره و معاینه اولیه
در اولین قدم، دندانپزشک دهان و دندانهای شما را معاینه میکند تا میزان کجی دندانها مشخص شود. معمولاً عکسهای داخل دهانی یا رادیوگرافی تهیه میشود و درباره انتظارات زیبایی و نتیجه موردنظر صحبت میکنید. در این مرحله تشخیص داده میشود که آیا کامپوزیت بهتنهایی برای اصلاح کجی مناسب است یا نیاز به ارتودنسی وجود دارد.
- طراحی لبخند و برنامهریزی درمان
پس از تأیید امکان انجام کامپوزیت، فرم و اندازه دندانها طراحی میشود. ممکن است از طراحی دیجیتال لبخند، مدل مومی یا تصاویر شبیهسازیشده استفاده شود. در این مرحله رنگ کامپوزیت و سبک طراحی (طبیعی، روشنتر، کلاسیک یا هالیوودی) تعیین میشود.
- آمادهسازی دندان
برای قرارگیری کامپوزیت، ممکن است مقدار بسیار کمی از سطح دندان تراش داده شود یا گاهی بدون تراش کار انجام شود. دندانها کاملاً تمیز، خشک و آماده میشوند تا اتصال کامپوزیت با سطح دندان محکمتر و ماندگارتر باشد.
- اسید اچ و باندینگ
سطح دندان با محلول اچ کمی زبر میشود تا چسبندگی بهتری ایجاد کند. سپس چسب مخصوص (باندینگ) روی دندان قرار میگیرد و با نور مخصوص پخت میشود تا پایهای محکم برای لایهگذاری کامپوزیت ایجاد گردد.
- لایهگذاری کامپوزیت
در این مرحله، مواد رزینی کامپوزیت به صورت لایهلایه روی دندان قرار میگیرند. هر لایه شکلدهی میشود و با نور (Curing Light) پخت میگردد. دندانپزشک با دقت فرم جدید دندان را ایجاد میکند تا نامرتبیها پوشانده شده و ظاهر دندانها مرتبتر و هماهنگتر شود.
بیشتر بخوانید: کامپوزیت بدون تراش
- فرمدهی و اصلاح جزئیات
پس از ساخت فرم کلی دندان، جزئیات نهایی مانند خطوط لبهای، انحنای دندان، تقارن و هماهنگی با بقیه دندانها تنظیم میشود. این مرحله برای ایجاد یک لبخند طبیعی و متعادل بسیار مهم است.
- پولیش نهایی
در این مرحله کامپوزیت براق و صیقلی میشود تا ظاهری کاملاً طبیعی و یکدست داشته باشد. پولیش حرفهای علاوهبر زیبایی بیشتر، مقاومت سطح کامپوزیت را افزایش میدهد و از تجمع رنگدانه جلوگیری میکند.
- تنظیم بایت و چکاپ نهایی
در پایان، تماس دندانها هنگام بستن فک بررسی میشود. اگر فشار یا تماس غیرطبیعی وجود داشته باشد، اصلاح میشود تا از لبپر شدن یا شکست کامپوزیت جلوگیری شود. معمولاً یک جلسه پیگیری چند روز بعد تعیین میشود تا نتیجه نهایی بررسی و تکمیل شود.
مزایا کامپوزیت برای دندان های کج

اگرچه روشهای زیبایی مختلفی برای اصلاح ظاهر دندانها وجود دارد، اما کامپوزیت به دلایل زیادی انتخاب محبوبتری محسوب میشود:
- نتیجهگیری سریع: این روش معمولاً تنها در یک جلسه دندانپزشکی انجام میشود و نتیجه آن بلافاصله قابل مشاهده است.
- حداقل تهاجم: فرایند کامپوزیت نیاز به تراش زیاد دندان ندارد و ساختار طبیعی دندان تا حد امکان حفظ میشود.
- ظاهر طبیعی: رزین کامپوزیت کاملاً مطابق با رنگ دندانهای شما انتخاب و شکلدهی میشود، به همین دلیل نتیجه نهایی بسیار طبیعی به نظر میرسد.
- مقرون به صرفه بودن: کامپوزیت باندینگ یکی از اقتصادیترین روشهای زیبایی دندان بوده و در عین حال میزان موفقیت بسیار بالایی دارد.
- دوام مناسب: با مراقبت صحیح، کامپوزیت میتواند تا ۱۰ سال دوام داشته باشد.
- بدون نیاز به دوران نقاهت: این روش هیچ دوره بهبودی خاصی نیاز ندارد؛ بلافاصله پس از انجام آن میتوانید غذا بخورید و فعالیتهای روزمره را ادامه دهید و نیاز به رژیم غذایی یا مراقبت ویژه وجود ندارد.
چه افرادی گزینه مناسبی برای کامپوزیت دندان کج هستند؟
ونیرها میتوانند برای پوشاندن دندانهایی که کمی نامرتب یا دارای فاصله هستند استفاده شوند و ظاهر دندانها را صافتر، هماهنگتر و سفیدتر نشان دهند. افرادی که شرایط زیر را دارند معمولاً گزینههای مناسبی برای انجام ونیر محسوب میشوند:
- دندانهای کج خفیف تا متوسط
- لثهها و دندانهای سالم
- نداشتن بیماری فعال لثه یا پوسیدگی درماننشده
- تمایل به یک روش زیبایی سریع بدون نیاز به ارتودنسی
- رعایت مناسب بهداشت دهان و دندان
بیشتر بخوانید: کامپوزیت ای پی اس ips
البته، همه افراد دارای دندانهای کج مناسب انجام ونیر نیستند. در برخی موارد، ارتودنسی همچنان بهترین و اصولیترین روش درمانی برای اصلاح نامرتبی دندانها است.
مواردی که کامپوزیت باندینگ برای آن ها مناسب نیست
- کجی شدید دندانها
- اوربایت یا اوورجتهای شدید (کلاس II)
- فاصلههای بزرگ بین دندانها
- افراد زیر ۱۸ سال
- وجود پوسیدگیهای گسترده یا درماننشده
بهطور کلی، کامپوزیت باندینگ بهترین نتیجه را روی دندانهای کاملاً صاف نشان میدهد، اما میتوان آن را برای افرادی با کجی خفیف یا نامرتبی جزئی نیز استفاده کرد. فقط باید انتظار داشت که نتیجه کمی ضخیمتر از حالت معمول دیده شود، زیرا برای صاف و یکنواخت نشاندادن دندانها، مقدار بیشتری رزین روی سطح دندان قرار میگیرد.
مراقبت بعد از کامپوزیت
- مسواک زدن روزانه با خمیر دندان غیرساینده
- استفاده منظم از نخ دندان
- پرهیز از گاز زدن اجسام سفت مانند یخ، خودکار و اشیای مشابه
- عدم مصرف زیاد نوشیدنیهای رنگی
- پرهیز از سیگار
- استفاده از نایتگارد در صورت دندانقروچه
- رعایت چکاپ دورهای نزد دندانپزشک
بیشتر بخوانید: ایا دندان خراب را میشود کامپوزیت کرد
جمع بندی
کامپوزیت میتواند یک روش سریع، کمتهاجمی و مقرونبهصرفه برای بهبود ظاهر دندانهای کج باشد، بهخصوص زمانی که میزان نامرتبی خفیف تا متوسط باشد. این روش بدون نیاز به ارتودنسی طولانیمدت میتواند فرم دندانها را یکنواختتر و لبخند را زیباتر کند. با این حال، در موارد کجی شدید یا مشکلات اسکلتی فکی، کامپوزیت بهتنهایی کافی نیست و ارتودنسی همچنان بهترین گزینه محسوب میشود. ارزیابی دقیق دندانپزشک متخصص نقش کلیدی در انتخاب روش صحیح دارد. انتخاب درست مواد، فرمدهی اصولی و رعایت مراقبتهای پس از درمان نیز تأثیر زیادی بر ماندگاری و زیبایی نهایی خواهد داشت.
سوالات متداول

-
آیا کامپوزیت می تواند جایگزین ارتودنسی برای دندان های کج باشد؟
فقط در موارد کجی خفیف تا متوسط. برای نامرتبیهای شدید، ارتودنسی انتخاب اصولیتر است.
-
کامپوزیت روی دندان های کج چقدر ماندگاری دارد؟
با رعایت بهداشت و عدم جویدن اجسام سخت، معمولاً بین ۵ تا ۱۰ سال دوام دارد.
-
آیا کامپوزیت روی دندان کج، دندان را ضخیم تر نشان می دهد؟
بله، چون برای صاف نشاندادن سطح دندان باید رزین بیشتری استفاده شود.
بیشتر بخوانید: بهترین دکتر کامپوزیت در تهران
-
آیا کامپوزیت به دندان آسیب می زند؟
اگر توسط دندانپزشک ماهر انجام شود، میزان تراش بسیار کم است و آسیبی ایجاد نمیکند.
-
آیا کامپوزیت باعث پوسیدگی یا تغییر رنگ می شود؟
خود کامپوزیت پوسیدگی ایجاد نمیکند، اما مصرف زیاد مواد رنگی و عدم رعایت بهداشت میتواند باعث تغییر رنگ شود.
-
آیا انجام کامپوزیت درد دارد؟
معمولاً خیر. اکثر افراد فقط کمی فشار یا حساسیت موقت احساس میکنند.
بیشتر بخوانید: کامپوزیت لبه شیشه ای نچرال
-
آیا پس از کامپوزیت نیاز به رژیم غذایی خاصی هست؟
خیر، فقط باید از گاز زدن مواد خیلی سفت پرهیز شود.
-
هزینه کامپوزیت روی دندان های کج چقدر است؟
بسته به مواد، برند، مهارت دندانپزشک و تعداد دندانها متفاوت است.
-
آیا امکان برداشتن کامپوزیت وجود دارد؟
بله، کامپوزیت قابل برداشت و اصلاح است؛ اما بسته به میزان تراش اولیه، بازگشت کامل به حالت اولیه همیشه ممکن نیست.
-
آیا کامپوزیت برای همه سنین قابل انجام است؟
خیر، معمولاً برای افراد زیر ۱۸ سال توصیه نمیشود.






