در این روش از ماده رزینی همرنگ دندان استفاده می شود که به طور مستقیم روی آن قرار می گیرد. در ادامه این مطلب به بررسی کامل کامپوزیت دندان شکسته می پردازیم.
کامپوزیت دندان شکسته چیست؟
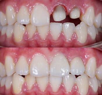
برخی افراد تصور می کنند تنها راه بازگرداندن دندان، کشیدن و ایمپلنت دندان است، اما در این شرایط می توان شکستگی های جزئی را با کامپوزیت درمان کرد. در این روش از یک ماده کامپوزیتی همرنگ و شبیه به ساختار دندان استفاده می شود. این مواد به شکل لایه ای و نازک روی دندان چسبیده و با نور مخصوص به صورت کامل محکم می شود.
کدام شکستگی های دندان با کامپوزیت قابل ترمیم است؟
ترمیم دندان شکسته با کامپوزیت زمانی امکان پذیر است که ریشه و ساختار اصلی دندان سالم باقی مانده باشد. در ادامه به شکستگی هایی که قابلیت ترمیم با کامپوزیت را دارند را بررسی می کنیم:
- لب پر شدن لبه دندان
- شکستگی محدود مینای دندان
- شکستگی در ناحیه تاج دندان بدون آسیب رساندن به عصب لثه
- شکستگی های خطی یا ترک های سطحی دندان
- شکستگی کامپوزیت قبلی
بیشتر بخوانید: کامپوزیت دندان جلو و ترمیم دندان شکسته جلو
مزایای ترمیم دندان شکسته با کامپوزیت

- کامپوزیت دندان های شکسته بدون تداخل در ساختار دندان طبیعی انجام می شود.
- در این روش به راحتی نقص های دندان آسیب دیده برطرف می شود.
- در سریع ترین زمان ممکن حتی در یک جلسه همه نواقص و عیوب دندان شکسته رفع می شود.
- ترمیم دندان آسیب دیده یا شکسته با روش کامپوزیت، مشکل جویدن غذا را برطرف می کند.
- با کامپوزیت تیزی دندان شکسته شده ترمیم می شود و و مانع ایجاد زخم در دهان و زبان می شود.
- ترمیم دندان شکسته شده با کامپوزیت، باعث جلوگیری از تجمع باکتری و پلاک در آن ناحیه می شود.
- کامپوزیت با تنوع رنگی بالا، ظاهری طبیعی دارد و دندان شکسته کامپوزیت شده کاملا شبیه دندان طبیعی خواهد بود.
معایب کامپوزیت دندان شکسته
استفاده از کامپوزیت برای ترمیم دندان های شکسته، روشی ایمن محسوب می شود، اما در برخی مواقع مشکلاتی نیز ایجاد می شود:
- ممکن است با گذشت زمان روی کامپوزیت لکه ایجاد شد یا رنگ آن زرد شود.
- کامپوزیت در موقعیت تحت فشار مانند شکستن پوست آجیل یا یخ، دچار شکستگی می شود.
- برخی افراد ممکن است پس از کامپوزیت دندان شکسته، دچار حساسیت دندانی موقت شوند.
- اگر مراحل انجام کامپوزیت دندان های آسیب دیده با دقت انجام نشود، احتمال شل شدن و افتادن آن بر اثر فشار و و تحمل بالا است.
- اگر پزشک مهارت کافی برای نصب کامپوزیت را نداشته باشد، احتمال عدم هماهنگی و انطباق دندان کامپوزیت شده با دندان های طبیعی وجود دارد.
بیشتر بخوانید: هزینه ترمیم دندان + با انواع مواد پر کننده
اطلاع از: مدت زمان ترمیم دندان چقدر است
ماندگاری کامپوزیت دندان شکسته
ماندگاری کامپوزیت دندان شکسته به عواملی همچون مهارت دندانپزشک، جنس مواد کامپوزیت و رعایت نکات مراقبتی بعد از کامپوزیت بستگی دارد. به طور میانگین طول عمر کامپوزیت ها حدودا ۵ تا ۷ سال است، اما ماندگاری آن با انتخاب پزشک ماهر و رعایت همه نکات بهداشتی دهان و دندان ممکن است تا ۱۰ سال برسد.
مراحل کامپوزیت دندان شکسته چگونه است؟

روش انجام کامپوزیت دندان شکسته، فرآیندی غیرتهاجمی است و معمولا بدون تراش یا با تراش بسیار جزئی دندان انجام می شود. مراحل انجام کامپوزیت دندان:
- ابتدا دندانپزشک همه اقدامات ترمیمی دندان از جمله درمان پوسیدگی و جرم گیری را انجام می دهد.
- نوعی محلول به اسم اچینگ را روی دندان می گذارد تا باعث زبری روی سطح دندان و چسبیدن بهتر کامپوزیت به دندان شود.
- این محلول به مدت ۳۰ دقیقه روی دندان ها باقی می ماند و سپس دهان را شستشو می دهند.
- برای پیوند کامپوزیت به مینای دندان باید سطح دندان ها به خوبی خشک شوند.
- به صورت جداگانه مواد کامپوزیت را با رنگ دندان تطبیق می دهند تا طبیعی به نظر برسد.
- مواد رزینی کامپوزیت به طور مستقیم به صورت لایه ای نازک روی دندان ها قرار می گیرد.
- در این مرحله از نور فرابنفش استفاده می شود تا مواد خمیری شکل کامپوزیت روی دندان سفت شود.
- در نهایت دندان شکسته کامپوزیت شده پولیش و صیقل داده می شود تا ظاهری طبیعی به دندان های واقعی شما داشته باشد.
اطلاع از بهترین دکتر کامپوزیت در تهران
هزینه های کامپوزیت دندان شکسته
هزینه ترمیم دندان شکسته با کامپوزیت بسته به عواملی همچون میزان آسیب، نوع برند و کیفیت مواد، مهارت دندانپزشک و موقعیت جغرافیایی کلینیک متغیر است. اگر دندان شما نیاز به کامپوزیت کامل داشته باشد، هر واحد آن حدودا ۲ تا ۵ میلیون است، اما اگر نیاز به ترمیم جزئی دندان شکسته داشته باشد، تعرفه آن حدودا نصف می شود.
تفاوت کامپوزیت دندان شکسته با لمینت و روکش
| ویژگی ها | کامپوزیت | لمینت دندان | روکش دندان |
| ظاهر | طبیعی و قابل قبول | بسیار طبیعی | مقاوم اما کمی مصنوعی |
| هزینه درمان | از ۲ تا ۵ میلیون تومان | از ۵ تا ۱۵ میلیون تومان | از ۵ تا ۱۲ میلیون تومان |
| زمان انجام درمان | ۱ جلسه | ۲ تا ۳ جلسه | ۲ تا ۳ جلسه |
| دوام و مقاومت | ۵ تا ۷ سال | ۱۰ تا ۱۵ سال | ۱۵ تا ۲۵ سال |
| میزان تراش دندان | بدون تراش یا ۵/۰ تراش | ۵/۰ تا ۰/۱ تراش | تراش بسیار زیاد دندان |
| کاربرد مناسب | مناسب برای شکستگی های جزئی و سطحی | برای آسیب های جرئی تا متوسط | شکستگی یا پوسیدگی های دندان |
مراقبت های بعد از کامپوزیت دندان شکسته
رعایت نکات مراقبتی باعث می شود ماندگاری دندان کامپوزیت شده، افزایش یابد. این نکات مراقبتی؛ عبارتند از:
- روزی ۲ بار مسواک و ۱ بار نخ دندان بکشید.
- برای جلوگیری از تغییر رنگ کامپوزیت دندان های شکسته، مصرف نوشیدنی و مواد غذایی با رنگدانه قوی را محدود کنید.
- پس از نوشیدن قهوه، نوشیدنی های رنگی مصرف مواد غذایی با رنگ مصنوعی حتما مسواک بزنید.
- مصرف دخانیات را محدود کنید، زیرا باعث زردی دندان ها می شود.
- در طول روز مایعات زیادی بنوشید تا باعث رفع خشکی دهان شود.
بیشتر بخوانید: آیا ترمیم دندان درد دارد
نتیجه گیری
کامپوزیت دندان شکسته برای دندان هایی که لب پر یا دچار شکستگی یا ترک خوردگی جزئی شده اند، مناسب است. این روش، راهی ساده، سریع، مقاوم و اقتصادی برای بازگرداندن دندان به شکل طبیعی است. البته به شرطی که نزد دندانپزشک ماهر و باتجربه مراجعه کنید.
کلینیک آمیتیس با وجود تیم حرفه ای متخصص های زیبایی دندان، در ابتدا دندان شما را معاینه و بررسی می کنند و سپس بهترین روش درمانی دندان شکسته شده را توصیه می کنند. فرآیند درمانی کامپوزیت دندان شکسته، بدون درد و با رعایت تمام نکات زیبایی انجام می شود.
سوالات متداول
چه زمانی نباید از روش کامپوزیت برای دندان شکسته استفاده کرد؟
اگر دندان شما بیشتر از ½ شکسته شده باشد یا ریشه و پالپ دندان آسیب دیده باشد، انجام این روش توصیه نمی شود.
آیا ترمیم دندان شکسته با کامپوزیت درد دارد؟
خیر؛ این درمان با بی حسی و با حداقل درد انجام می شود.
بیشتر بخوانید: قیمت هر واحد کامپوزیت دندان
کامپوزیت دندان شکسته شده چقدر زمان می برد؟
معمولا این درمان در یک جلسه ۳۰ دقیقه ای برای یک واحد دندان انجام می شود.
مهم ترین مزیت روش کامپوزیت دندان شکسته چیست؟
از مواد رزینی کامپوزیت همرنگ دندان استفاده می شود تا دندان شکسته شده ظاهری طبیعی مانند دندان های واقعی خود بیمار داشته باشد.








