در ادامه مزایا، محدودیت ها، شرایط انجام و روش های جایگزین آن را بررسی می کنیم.
آیا می توان روی دندان عصب کشی شده کامپوزیت ونیر انجام داد؟
بله، کامپوزیت ونیر بعد از عصب کشی گزینه ای ایده آل برای داشتن دندان های زیبای است، اما نکته ای که وجود دارد این است که دندان باید استحکام کافی داشته باشد و هیچ عفونت یا مشکل ریشه ای وجود نداشته باشد. با مراقبت صحیح و انتخاب مواد مناسب، رنگ و ظاهر دندان عصب کشی شده را می توان تغییر داد. حتی دندان هایی که کمی تغییر رنگ داده اند نیز با تکنیک حرفه ای کامپوزیت قابل اصلاح هستند.
برای اطلاع از بهترین دکتر کامپوزیت در تهران کلیک کنید
در چه صورت می توان کامپوزیت ونیر روی دندان عصب کشی شده انجام داد؟
کامپوزیت ونیر روی دندان عصب کشی شده زمانی مناسب است که ساختار دندان کافی باشد و پایه دندان از استحکام کافی برخوردار باشد. همچنین قابلیت تراش و آماده سازی دندان باید وجود داشته باشند. سلامت لثه ها و انتخاب پزشک با تجربه کافی نیز مهم است.
۱. مقدار ساختار دندان باقی مانده
دندان عصب کشی شده معمولا نسبت به دندان سالم شکننده تر است. اگر بخش زیادی از ساختار طبیعی دندان باقی مانده باشد، نصب کامپوزیت ونیر انجام می شود و خطر ترک یا شکستگی به حداقل می رسد.
۲. استحکام پایه دندان
گاهی دندان عصب کشی شده برای نگه داشتن کامپوزیت نیاز به پست (میله) یا فیلینگ ریشه (پر کردن) دارد تا مقاومت کافی داشته باشد. این کار باعث می شود فشار ناشی از جویدن یا دندان قروچه به ونیر منتقل نشود و دوام بیشتری داشته باشد. استحکام پایه دندان، یکی از عوامل کلیدی در ماندگاری و زیبایی نهایی کامپوزیت است.
۳. قابلیت تراش و آماده سازی دندان

قبل از نصب ونیر، دندانپزشک باید میزان تراش دندان را بررسی کند. در صورتی که ساختار دندان ضعیف باشد یا دیواره ها نازک باشند، لمینت سرامیکی یا روکش گزینه ای ایمن تر هستند، زیرا استحکام بیشتری دارند.
در چه شرایطی کامپوزیت ونیر روی دندان عصب کشی شده امکان پذیر نیست؟
گاهی ساختار یا وضعیت دندان به گونه ای است که انجام کامپوزیت ونیر ریسک بالایی دارد. در صورت داشتن شرایط زیر انجام ونیر روی دندان عصب کشی شده توصیه نمی شود:
- دیواره های دندان بسیار نازک یا ترک خورده باشد.
- شکستگی وسیع یا از بین رفتن بخش زیادی از تاج دندان
- تغییر رنگ شدید و غیرقابل اصلاح با تکنیک های کامپوزیت
- نیاز به درمان مجدد ریشه یا وجود عفونت فعال
مقایسه کامپوزیت، لمینت و روکش روی دندان عصب کشی شده
| ویژگی / روش | کامپوزیت ونیر | لمینت سرامیکی | روکش (کراون) |
| مناسب برای چه شرایطی | تغییر رنگ متوسط، لب پر شدن یا ناهنجاریهای خفیف، اهداف زیبایی بدون تراش زیاد | تغییر رنگ شدید، لب پر شدن بیشتر، شکل نامناسب دندان، مقاومت بالاتر مورد نیاز | دیواره های ضعیف، شکستگی وسیع، نیاز به درمان ریشه مجدد، دندان بسیار تیره یا تراش خورده |
| میزان تراش دندان | کم | متوسط | زیاد |
| میزان استحکام مورد نیاز دندان | دندان باید حداقل استحکام داشته باشد و دیواره ها کافی باشد | دندان کمی مقاوم باشد، اما استحکام بیشتر نسبت به کامپوزیت نیاز دارد | دندان باید مقاوم باشد یا با پست/فیلینگ تقویت شود |
| مدت زمان انجام | ۱ تا ۲ جلسه | معمولا ۲ جلسه | ۲ تا ۳ جلسه |
| مراقبت و دوام | نیاز به مراقبت بیشتر، حساس به فشار و دندانقروچه | دوام بالاتر، اما شکننده در فشار خیلی زیاد | طول عمر بالا، بهترین گزینه برای دندان ضعیف یا تخریب زیاد |
| مزایا | ترمیم سریع، کم تهاجمی، قابل ترمیم | ظاهر بسیار طبیعی، مقاومت و زیبایی بالا | استحکام عالی، محافظت کامل از دندان عصبکشی شده |
| معایب / محدودیتها | شکننده تر، ممکن است در صورت فشار زیاد ترک بخورد | تراش دندان لازم است، هزینه بیشتر | تراش زیاد دندان، هزینه بالاتر |
مزایای کامپوزیت روی دندان عصب کشی شده

- زیبایی طبیعی و هماهنگ با دندان ها: کامپوزیت ها در رنگ های متنوعی ساخته می شوند و به همین دلیل نتیجه نهایی بسیار طبیعی و غیرقابل تشخیص خواهد بود.
- حداقل تراش دندان: برخلاف روکش، برای انجام کامپوزیت نیازی به تراش زیاد دندان نیست و بخش بیشتری از بافت سالم دندان حفظ می شود.
- ترمیم سریع و یک جلسه ای: کامپوزیت روی دندان عصب کشی شده در یک جلسه انجام می شود و نیازی به قالب گیری یا انتظار طولانی ندارد.
- هزینه کمتر نسبت برخی روش ها: کامپوزیت نسبت به روش هایی مانند روکش های سرامیکی یا ایمپلنت، هزینه کمتری دارد و گزینه ای اقتصادی برای زیبایی دندان محسوب می شود.
- امکان ترمیم و اصلاح آسان: در صورت لب پریدگی، ترک یا تغییر جزئی در شکل کامپوزیت، می توان آن را به راحتی ترمیم یا اصلاح کرد، بدون اینکه نیاز به تعویض کامل ونیر کامپوزیت باشد.
- بازسازی همزمان زیبایی و عملکرد دندان: کامپوزیت علاوه بر بهبود ظاهر دندان، باعث تقویت ساختار دندان می شود و عملکرد طبیعی دندان در صحبت کردن و جویدن باز می گرداند.
بیشتر بخوانید: قیمت کامپوزیت دندان واحدی چند است
معایب کامپوزیت روی دندان عصب کشی شده
- استحکام کمتر نسبت به روکش: کامپوزیت در مقایسه با روکش های سرامیکی یا فلزی مقاومت کمتری دارد و درصورت فشار بالای جویدن، احتمال لب پریدگی یا شکستگی آن بیشتر است.
- احتمال تغییر رنگ در طول زمان: کامپوزیت با گذشت زمان در اثر مصرف مداوم موادغذایی رنگی مانند چای، قهوه، نوشابه و سیگار دچار تغییر رنگ و از دست رفتن شفافیت اولیه می شود.
- ماندگاری محدودتر: عمر کامپوزیت معمولا کمتر از روکش است بسته به مراقبت های فردی، ممکن است پس از چند سال نیاز به ترمیم یا تعویض داشته باشند.
- نیاز به مراقبت بالا: نیاز به رعایت دقیق بهداشت دهان و دندان دارد و باید از جویدن مواد بسیار سفت یا عادات نادرست مانند دندان قروچه پرهیز شود.
- مناسب نبودن برای همه دندان ها: در دندان هایی که تخریب گسترده دارند یا ساختار سالم آن ها کمی باقی مانده است، کامپوزیت مناسب نیست و باید روکش شود.
همچنین کیفیت نهایی کامپوزیت تا حد زیادی به دقت و مهارت دندانپزشک بستگی دارد؛ در صورت اجرای غیراصولی، ممکن است ظاهر و دوام مطلوبی نداشته باشد.
نکات انجام کامپوزیت ونیر روی دندان عصب کشی شده
برای داشتن بهترین نتیجه و طول عمر بالای کامپوزیت روی دندان عصب کشی شده، رعایت نکات زیر ضروری است:
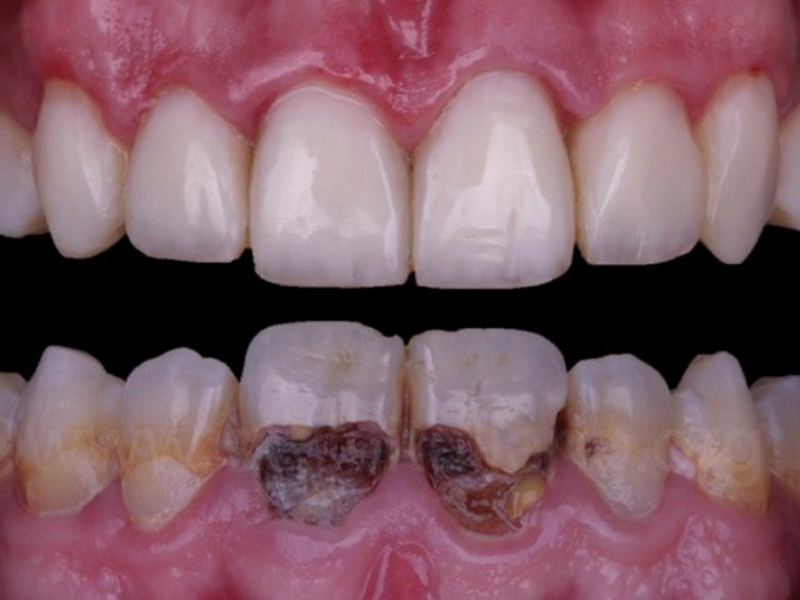
- بررسی سلامت دندان و ریشه ها: دندانپزشک قبل از شروع به کار باید با رادیوگرافی از سلامت دندان و کیفیت عصب کشی مطمئن شود و از نبود عفونت یا مشکل ریشه اطمینان حاصل کند.
- تست استحکام و ترمیم ساختاری: اگر دیواره های دندان ضعیف و آسیب دیده باشند، ترمیم ساختار آن لازم است. گاهی استفاده از پست یا فیلینگ ریشه برای تقویت پایه دندان ضروری است تا فشار جویدن به ونیر منتقل نشود.
- انتخاب رنگ دقیق و هماهنگی با سایر دندان ها: رنگ کامپوزیت باید با راهنمای رنگ انتخاب شود تا دندان عصب کشی شده کاملا طبیعی و همرنگ با بقیه دندان ها دیده شود.
- پولیش حرفه ای: انجام پولیش سطح کامپوزیت، علاوه بر ظاهر طبیعی باعث دوام طولانی تر ترمیم می شود.
بیشتر بخوانید: بهترین دکتر کامپوزیت در شریعتی
آیا انجام کامپوزیت بعد از عصب کشی درد دارد؟
خیر؛ معمولا انجام کامپوزیت ونیر روی دندان عصب کشی شده با کامپوزیت درد زیادی ندارد؛ زیرا عصب دندان قبلا درمان و برداشته شده است. در طول انجام کامپوزیت، دندانپزشک ممکن است از بی حسی موضعی استفاده کند تا بیمار هیچ ناراحتی و حساسیتی احساس نکند. پس از انجام ، ممکن است برای چند روز کوتاه، حساسیت جزئی یا فشار هنگام جویدن احساس شود، که معمولا با مراقبت های ساده و رعایت توصیه های دندانپزشک برطرف می شود.
مراقبت های بعد از کامپوزیت دندان عصب کشی شده

برای افزایش دوام و حفظ ظاهر دندان پس از ترمیم با کامپوزیت، رعایت نکات زیر بسیار اهمیت دارد:
- رعایت بهداشت دهان و دندان: مسواک زدن حداقل روزی دوبار و استفاده روزانه از نخ دندان برای جلوگیری از پوسیدگی کامپوزیت ضروری است.
- پرهیز از جویدن مواد سخت: از خوردن آجیل های سفت و یخ یا هر ماده سخت دیگر خودداری کنید تا از ترک یا لب پریدگی کامپوزیت جلوگیری شود.
- بررسی منظم دندان ها: مراجعه منظم به دندانپزشک برای چکاپ و پولیش دوره ای کامپوزیت، عمر آن را افزایش می دهد.
- مدیریت عادات دندون قروچه: در صورت داشتن دندان قروچه، استفاده از محافظ شبانه توصیه می شود تا کامپوزیت ها دچار شکستگی نشوند.
- کنترل فشار جویدن: در روزهای ابتدایی بعد از ترمیم، هنگام جویدن به دندان فشار زیادی وارد نشود.
رعایت این نکات باعث می شود سال ها مقاومت کامپوزیت روی دندان عصب کشی شده حفظ شود و ظاهر زیبا و عملکرد مناسبی داشته باشد.
نتیجه گیری
کامپوزیت روی دندان عصب کشی شده راهکاری موثر برای بازگرداندن زیبایی و استحکام دندان است که با رعایت مراقبت های لازم، سال ها دوام و ظاهر طبیعی خود را حفظ می کند. این روش سریع، کم درد و اقتصادی است و حتی روی اعتماد به نفس شما در لبخند زدن را افزایش می دهد.
برای دریافت مشاوره تخصصی و انجام کامپوزیت با بهترین کیفیت، هم اکنون با کلینیک دندانپزشکی دکتر سیمین برنگی تماس بگیرید. تیم حرفه ای ما آماده است تا بهترین ترمیم و مراقبت را برای دندان های شما فراهم کند.
سوالات متداول
آیا می توان سال ها بعد از عصب کشی، کامپوزیت ونیر انجام داد؟
بله؛ فاصله زمانی بعد از عصب کشی مانع انجام کامپوزیت نیست. باید دندان سالم و بدون عفونت باشد و ساختار آن برای ونیر ارزیابی شود.
آیا دندان عصب کشی شده زیر کامپوزیت پوسیده می شود؟
اگر بهداشت دهان رعایت نشود، ممکن است در لبه های کامپوزیت پوسیدگی ایجاد شود. مسواک زدن، استفاده از نخ دندان و معاینات دوره ای نزد دندانپزشک از این مشکل جلوگیری می کند.
آیا انجام کامپوزیت برای دندان عصب کشی شده در دندان های جلو و عقب تفاوت دارد؟
بله، دندان های جلو فشار کمتری تحمل می کنند و معمولا گزینه مناسب تری برای کامپوزیت هستند. اما روکش برای دندان های عقب، به دلیل فشار جویدن مناسب تر است.
آیا کامپوزیت ونیر روی دندان عصب کشی شده عمر کمتری دارد؟
عمر کامپوزیت بیشتر به میزان مراقبت، فشار وارد شده به دندان و مهارت دندانپزشک بستگی دارد. اگر دندان تقویت شده باشد و مراقبت های لازم رعایت شود، طول عمر آن تفاوت قابل توجهی با دندان های سالم نخواهد داشت.
آیا کامپوزیت روی دندان عصب کشی شده زودتر می شکند؟
در صورت ضعیف بودن ساختار دندان یا وارد شدن فشار زیاد، احتمال شکستن بیشتر است. به همین دلیل بررسی استحکام دندان و رعایت مراقبت های بعد از درمان اهمیت دارد.









