کامپوزیت ونیر با اقساط ۱۰ ماهه​ + ضمانت بهترین مواد

فقط این ماه

کامپوزیت ونیر با اقساط ۱۰ ماهه​ + ضمانت بهترین مواد

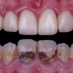
پوسیدگی دندان بعد از کامپوزیت

پوسیدگی بعد از کامپوزیت دندان

پوسیدگی دندان بعد از کامپوزیت معمولا به خاطر خود کامپوزیت نیست، بلکه به دلیل اجرای نادرست، چسبندگی نامناسب یا رعایت نکردن بهداشت دهان و دندان اتفاق می افتد. اگر لبه های کامپوزیت به خوبی روی دندان قرار نگیرد یا فرد مسواک و نخ دندان را منظم استفاده نکند، باکتری ها در اطراف کامپوزیت تجمع پیدا می کنند و باعث پوسیدگی می‌شوند. در صورتی که کامپوزیت به‌صورت اصولی انجام شود و مراقبت های لازم رعایت شود، نه تنها باعث پوسیدگی نمی‌شود، بلکه خطری نیز برای دندان ندارد.

آیا کامپوزیت باعث پوسیدگی دندان می شود

پوسیدگی بعد از کامپوزیت دندان یکی از مشکلاتی بوده که بعد از انجام ترمیم‌ های دندانی برای برخی افراد رخ می دهد. بسیاری از افراد تصور می‌ کنند که بعد از کامپوزیت دندان، دیگر نیازی به مراقبت ویژه ندارند، اما آیا این باور درست است؟ چرا برخی افراد بعد از انجام این روش دچار پوسیدگی می‌ شوند و چگونه میتوان از این مشکل جلوگیری نمود؟ در این مقاله به بررسی دلایل ایجاد پوسیدگی بعد از کامپوزیت، روشهای پیشگیری از آن، علائم اولیه پوسیدگی و همچنین روش های درمانی می پردازیم پس با ما همراه باشید.

صحبت های متخصص ترمیمی و زیبایی درباره پوسیدگی دندان و کامپوزیت – دکتر سیمین برنگی

نگاه کلی به تیترها توضیح
آیا کامپوزیت باعث پوسیدگی دندان می شود؟ خیر، کامپوزیت به‌خودی‌خود باعث پوسیدگی نمی‌شود، اما در صورت اجرای نادرست یا عدم رعایت بهداشت دهان، پوسیدگی زیر آن ممکن است ایجاد شود.
شایع ترین علت پوسیدگی بعد از کامپوزیت
  • عدم رعایت بهداشت دهان و دندان،
  • تجمع پلاک و باکتری در اطراف کامپوزیت و باندینگ ضعیف
سایر عوامل مؤثر
  • ترک‌خوردگی یا سایش کامپوزیت،
  • عدم درمان پوسیدگی قبل از کامپوزیت،
  • مصرف زیاد مواد قندی،
  • استعمال دخانیات
آیا پوسیدگی زیر کامپوزیت همیشه علامت دارد؟ خیر، در بسیاری از موارد پوسیدگی های اولیه هیچ علامت مشخصی ندارند و فقط توسط دندانپزشک تشخیص داده می‌شوند.
علائم احتمالی پوسیدگی زیر کامپوزیت
  • حساسیت به سرما و شیرینی
  • تغییر رنگ اطراف کامپوزیت
  • بوی بد دهان
  • درد هنگام جویدن
خطر پوسیدگی های بدون علامت پیشرفت تدریجی پوسیدگی و آسیب به لایه‌های عمقی دندان که بدون علائم است معمولا
نقش معاینات دوره‌ای تشخیص زودهنگام پوسیدگی‌های پنهان و جلوگیری از درمان‌های پیچیده‌تر
روش‌های پیشگیری مسواک و نخ دندان منظم، پرهیز از غذاهای سفت، پولیش دوره‌ای، کاهش مصرف قند، ترک دخانیات
نقش جرم‌گیری دندان کاهش تجمع پلاک و باکتری و کمک به جلوگیری از پوسیدگی بعد از کامپوزیت
درمان پوسیدگی خفیف برداشتن کامپوزیت، حذف پوسیدگی و ترمیم مجدد
درمان پوسیدگی پیشرفته درمان ریشه (عصب کشی) و سپس ترمیم یا کامپوزیت مجدد دندان
امکان کامپوزیت مجدد بعد از درمان بله، در اغلب موارد پس از درمان پوسیدگی می‌توان مجدداً کامپوزیت انجام داد
نتیجه نهایی با مراقبت صحیح و پیگیری منظم، خطر پوسیدگی بعد از کامپوزیت بسیار کم خواهد بود

آیا کامپوزیت باعث پوسیدگی و خرابی دندان می شود؟

کامپوزیت ونیر به‌خودی‌خود باعث پوسیدگی دندان نمی‌شود، زیرا واکنشی با مینای دندان ندارد. با این حال، در صورت رعایت نکردن بهداشت دهان و دندان یا اجرای نادرست کامپوزیت، احتمال تجمع پلاک و باکتری در اطراف آن افزایش می‌یابد که می‌تواند منجر به پوسیدگی و التهاب لثه شود. همچنین ترک‌خوردگی، سایش یا شکستگی کامپوزیت مسیر ورود باکتری‌ها را فراهم کرده و خطر پوسیدگی زیر ترمیم را بالا می‌برد. به همین دلیل، مراقبت صحیح و مراجعه منظم به دندانپزشک نقش مهمی در پیشگیری از این مشکل دارد.

علائم پوسیدگی دندان بعد از کامپوزیت

پوسیدگی دندان بعد از کامپوزیت معمولا در مراحل اولیه علامت مشخصی ندارد و به صورت پنهان پیشرفت می کند، به همین دلیل بسیاری از افراد دیر متوجه آن می شوند. در ادامه علائم پوسیدگی دندان بعد از کامپوزیت را بررسی می کنیم:

  • نداشتن علامت در مراحل اولیه و پیشرفت پنهان پوسیدگی
  • حساسیت دندان به سرما، گرما یا مواد شیرین
  • تغییر رنگ یا ایجاد لکه های تیره در لبه های کامپوزیت
  • مشاهده سایه خاکستری یا زرد در اطراف یا زیر کامپوزیت
  • بوی بد دهان یا طعم ناخوشایند مداوم
  • درد خفیف تا شدید، به ویژه هنگام جویدن
  • احساس فشار یا ناراحتی در دندان ترمیم شده
  • لق شدن، لب پریدگی یا ترک خوردن کامپوزیت
  • افتادن کامپوزیت در موارد پیشرفته پوسیدگی

بیشتر بخوانید: هزینه کامپوزیت دندان

علت پوسیدگی دندان زیر کامپوزیت

کامپوزیت دندان از موادی تشکیل شده که قابلیت خرابی ندارد اما خود دندان که در زیر کامپوزیت قرار گرفته، ممکن است دچار پوسیدگی شود. این عارضه بنا به دلایل مختلفی ایجاد می شود که در ادامه به برخی از مهمترین دلایل این عارضه اشاره می نماییم:

۱. عدم رعایت بهداشت دهان و دندان

بسیاری از افراد بعد از کامپوزیت دندان‌ ها، گمان می‌ کنند دیگر نیازی به رسیدگی و مراقبت از دندان‌ ها وجود ندارد. در صورتی که پس از کامپوزیت مراقبت‌ و بهداشت دهان و دندان از اهمیت بالایی برخوردار است. هنگام کامپوزیت دندان‌ ها یک لایه‌ ی نازک از روی مینای دندان تراشیده می‌ شود و همین موضوع منجر به ضعیف شدن مینای دندان می‌ شود در نتیجه دندان‌ های کامپوزیت شده بیشتر از دندان‌ های طبیعی در معرض پوسیدگی و آسیب قرار می گیرند.

۲. تجمع ذرات غذا بین دندان و کامپوزیت

ذرات مواد غذایی که در طی روز مصرف می‌ کنید، ممکن است بین دندان‌ ها و کامپوزیت جمع شوند و محیط مناسبی را برای پوسیدگی ایجاد نمایند. به خصوص اگر باندینگ مواد کامپوزیت روی دندان اصلی به خوبی انجام نشده باشد یا اگر مواد باندینگ به مرور خراب شوند، محیط مناسبی را برای تجمع مواد غذایی ریز و رشد باکتری‌ ها فراهم می کند.

بنابراین همان طور که در بالا اشاره کردیم علاوه بر رعایت بهداشت دهان و دندان باید معاینات دوره‌ ای را پیگیری نمائید. برخی از پوسیدگی‌ های جزئی ممکن است توسط بیمار شناسایی نشود اما دندانپزشک با ابزار مخصوص جزئی ترین پوسیدگی‌ ها را نیز تشخیص می دهد. تشخیص پوسیدگی‌ های کوچک و درمان به موقع آنها منجر به جلوگیری از پوسیدگی‌ های شدید و آسیب‌ های جدی‌ تر می شود.

بیشتر بخوانید: پولیش کامپوزیت دندان

۳. عدم ترمیم مشکلات دندان قبل از کامپوزیت

قبل از انجام کامپوزیت باید تمام مشکلات دندان مانند شکستگی، پوسیدگی و سایر مشکلات باید به طور کامل درمان شوند. در صورتی که مشکلات جزئی قبل از کامپوزیت برطرف نشود، ممکن است منجر به پوسیدگی و ایجاد مشکلات شدید شود. پس از درمان پوسیدگی‌ های جزئی باید جرم گیری و پولیش دندان‌ ها به خوبی انجام شود. اگر این مراحل به طور دقیق انجام نشود، منجر به ایجاد پوسیدگی بعد از کامپوزیت دندان می شوند.

آیا بعد از درمان پوسیدگی دندان می توان دوباره کامپوزیت انجام داد؟

در بیشتر مواقع، پس از درمان پوسیدگی دندان، انجام مجدد کامپوزیت وجود دارد. اگر پوسیدگی به موقع درمان شود و ساختار سالم کافی از دندان باقی مانده باشد، کامپوزیت مجدد بدون مشکل انجام می شود. در پوسیدگی های متوسط، پس از ترمیم عمیق و اطمینان از سلامت عصب، کامپوزیت قابل اجراست. حتی بعد از عصب‌کشی نیز، در صورت استحکام دندان، می توان کامپوزیت انجام داد. با این حال، در تخریب های شدید که دندان استحکام خود را از دست داده، روکش دندان گزینه مناسب تری نسبت به کامپوزیت خواهد بود.

جهت دریافت مشاوره رایگان و رزرو نوبت، لطفا فرم زیر را تکمیل فرمایید.

درمان پوسیدگی دندان بعد از کامپوزیت دندان

درمان پوسیدگی دندان بعد از کامپوزیت به شدت پوسیدگی، محل آن و میزان آسیب به ساختار دندان بستگی دارد. تشخیص زودهنگام این مشکل، نقش بسیار مهمی در ساده تر شدن روند درمان و حفظ دندان دارد. در ادامه، تمامی روش های درمان پوسیدگی بعد از کامپوزیت را بررسی می کنیم:

۱. درمان پوسیدگی های خفیف دندان بعد از کامپوزیت

در این مرحله پوسیدگی تنها در لایه های سطحی دندان ایجاد شده و هنوز به بخش های عمقی نفوذ نکرده است. دندانپزشک ابتدا کامپوزیت قدیمی را به طور کامل برمی دارد و ناحیه پوسیده را تمیز و ضدعفونی می کند. سپس دندان با مواد ترمیمی مناسب بازسازی شده و در صورت نیاز کامپوزیت جدید انجام می شود؛ در این حالت معمولا نیازی به عصب‌کشی وجود ندارد.

۲. ترمیم کامپوزیت بعد از حذف پوسیدگی دندان

اگر پوسیدگی به زیر کامپوزیت نفوذ کرده باشد اما عصب دندان سالم باقی مانده باشد، امکان ترمیم مجدد وجود دارد. در این شرایط، کامپوزیت برداشته می‌شود و پس از حذف کامل پوسیدگی، دندان مجددا ترمیم و کامپوزیت گذاشته می شود. با انجام صحیح این مراحل، ظاهر و عملکرد دندان بدون مشکل قابل بازگشت است.

۳. درمان پوسیدگی های متوسط تا عمیق

در پوسیدگی‌های پیشرفته تر، آسیب به لایه های داخلی دندان نزدیک تر می شود و نیاز به بررسی دقیق تری دارد. دندانپزشک ابتدا وضعیت پالپ دندان را ارزیابی می کند و در صورت سالم بودن عصب، ترمیم عمیق انجام می دهد. و در صورت آسیب به عصب، درمان ریشه انجام می شود. تشخیص و درمان به موقع در این مرحله، نیاز درمان ریشه را جلوگیری می کند.

اگر پس از کامپوزیت متوجه پوسیدگی دندان‌ ها شدید باید در اولین فرصت جهت درمان این عارضه اقدام نمائید. گاهی اوقات بدون اینکه به مینای دندان آسیبی وارد شود، کامپوزیت از روی دندان تراشیده می‌ شود. البته لازم به ذکر است بعد از درمان مجددا می‌ توانید دندان ها را کامپوزیت نمایید.

تاثیر جرمگیری دندان در جلوگیری از پوسیدگی دندان بعد از کامپوزیت

روش های پیشگیری از پوسیدگی دندان بعد از کامپوزیت دندان

پوسیدگی دندان بعد از کامپوزیت می‌تواند به دلایل مختلفی ایجاد شود، اما با رعایت برخی نکات ساده می‌توان احتمال بروز آن را تا حد زیادی کاهش داد.

مهم ترین روش های پیشگیری عبارتند از:

  • مسواک زدن منظم، حداقل دو بار در روز، برای جلوگیری از تجمع پلاک و باکتری ها
  • استفاده روزانه از نخ دندان جهت پاکسازی مواد غذایی باقی‌مانده بین دندان ها
  • پرهیز از مصرف غذاهای سفت مانند آجیل، یخ و خوراکی‌های سخت که باعث سایش یا ترک خوردگی کامپوزیت می شوند
  • مسواک زدن پس از مصرف مواد غذایی شیرین یا خوراکی‌هایی که احتمال ایجاد لکه روی کامپوزیت دارند
  • مراجعه دوره ای به دندانپزشک برای پولیش و صیقل کامپوزیت، زیرا تغییر رنگ کامپوزیت در طول زمان امری طبیعی است
  • انجام معاینات منظم دندانپزشکی هر شش ماه یک بار، حتی در صورت نداشتن درد یا علائم ظاهری، چرا که برخی مشکلات تنها توسط دندانپزشک قابل تشخیص هستند
  • ترک استعمال سیگار، قلیان، پیپ و سایر محصولات دخانی، زیرا این مواد نقش مهمی در افزایش پوسیدگی و آسیب به دندان‌ها دارند

رعایت این نکات ساده، تأثیر قابل توجهی در افزایش دوام کامپوزیت و حفظ سلامت دندان‌ها خواهد داشت.

برای اطلاع از بهترین دکتر کامپوزیت در تهران و دکتر کامپوزیت در خیابان شریعتی کلیک کنید

نتیجه گیری

با توجه به مطالب ذکر شده در بالا نتیجه می گیریم، پوسیدگی دندان بعد از کامپوزیت یک مشکل رایج نبوده اما در صورت عدم رعایت مراقبت‌ های لازم ممکن است به یک عارضه جدی تبدیل شود. کامپوزیت به خودی خود موجب پوسیدگی نمی‌ شود اما عواملی مانند عدم رعایت بهداشت دهان و دندان، نصب غیر اصولی کامپوزیت، ایجاد فاصله بین کامپوزیت و لثه و بی‌ توجهی به ترمیم‌ های منظم خطر پوسیدگی را افزایش می دهند. برای جلوگیری از این عارضه، مسواک زدن منظم، استفاده از نخ دندان، مراجعه به دندانپزشک و اجتناب از عادات مضر ضروری است.

سوالات متداول

آیا پوسیدگی زیر کامپوزیت قابل مشاهده است؟

پوسیدگی زیر کامپوزیت در مراحل اولیه با چشم قابل مشاهده نیست. این نوع پوسیدگی معمولا بدون درد و علامت پیشرفت می کند و فقط با معاینه تخصصی یا عکس رادیوگرافی تشخیص داده می شود. به همین دلیل بررسی‌های دوره‌ای هر ۶ ماه یکبار اهمیت زیادی دارد.

آیا کامپوزیت پوسیدگی را پنهان می کند؟

بله؛ به ویزه ار پوسیدگی بعد از انجام کامپوزیت ایجاد شده باشد. ظاهر دندان کامپوزیت شده سالم به نظر می رسد، در حالی که پوسیدگی در زیر کامپوزیت در حال پیشرفت است.

هر چند وقت یک بار باید کامپوزیت ها بررسی شوند؟

به‌طور معمول توصیه می شود کامپوزیت‌ها هر ۶ ماه یکبار در معاینات دوره‌ای دندانپزشکی بررسی شوند. در افرادی که بهداشت دهان ضعیف تری دارند یا مصرف قند و دخانیات بالاست، این فاصله ممکن است کوتاه تر باشد.

آیا پوسیدگی باعث افتادن کامپوزیت می شود؟

بله، در صورت ایجاد پوسیدگی زیر کامپوزیت، اتصال بین دندان و مواد کامپوزیتی ضعیف می شود. این موضوع منجربه لق شدن، ترک خوردگی یا حتی افتادن کامپوزیت منجر می شود.

تایید شده توسط: دکتر سیمین برنگی

دکتر سیمین برنگی

دکتر سيمين برنگی متخصص دندانپزشكی ترميمی و زيبايی و عضو هيئت علمی دانشكده دندانپزشكی دانشگاه تهران می باشند. دکتر سیمین برنگی دارای بیش از ٨ سال سابقه در زمینه دندانپزشکی زیبایی و ترمیمی بوده و با روشهای نوین و متدهای جدید در این زمینه مشغول به فعالیت هستند.

دکتر سیمین برنگی

فرم مشاوره رایگان

آخرین مطالب
به ما در جهت بهتر شدن امتیاز دهید.
دیدگاهتان را بنویسید

نشانی ایمیل شما منتشر نخواهد شد. بخش‌های موردنیاز علامت‌گذاری شده‌اند *

جستجو