لمینت دندان شکسته را می توان یکی از رایج ترین روش هایی دانست که در سال ها اخیر با توجه به مزایای آن مورد توجه بخش بزرگی از جامعه شده است. به کمک این روش نگرانی های افراد از پروسه ها پیچیده ترمیم شکستگی های دندانی تا حد زیادی کاهش یافته است. به دنبال کسب اطلاعات درباره لمنیت دندان شکسته هستید؟ در ادامه همراه ما باشید.
لمینت دندان شکسته چیست؟
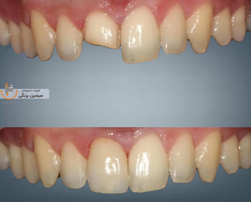
شکستگی دندان مخصوصاً دندانهای جلویی علاوه بر اینکه عملکرد دندان مثل جویدن را بههم میریزد، روی اعتمادبهنفس شما نیز تأثیر میگذارد. یکی از بهترین راه های ترمیم دندان شکسته، لمینت دندان است که با پوششی نازک و مقاوم روی قسمت شکسته شده قرار میگیرد، در نهایت لبخندی زیبا و طبیعی را به شما بازمیگرداند.
دندان شکسته علاوه بر اینکه از لحاظ زیبایی منجر به ایجاد مشکل میشود بلکه مستعد عفونت و پوسیدگی نیز قرار دارد، بنابراین به سرعت باید تحت ترمیم قرار بگیرد.
روشهای مختلفی برای ترمیم دندان شکسته وجود دارد. در گذشته بیشتر از روش روکش کردن برای ترمیم این دندانها استفاده میشد اما در سالهای اخیر روشهای جدیدتری مانند لمینت دندان برای پوشاندن مشکلات متعدد مانند شکستگی دندان رایج شده است.
کاربرد لمینت برای دندان شکسته

دندانی که دچار شکستگی شده است میتواند مشکلات بسیاری را ایجاد کند. تمام این مشکلات با لمینت دندان قابل ترمیم است. در ادامه به برخی از کاربردهای لمینیت برای دندان شکسته اشاره مینمائیم:
- ایجاد ظاهر زیبا
- کاهش احتمال پوسیدگی
- کاهش حساسیت دندان: عصب دندان شکسته اگر ترمیم نشود میتواند باعث شود دندان نسبت به غذاهای سرد، گرم، شیرین و یا اسیدی حساس شود.
- کاهش احتمال عفونت
- در شکستگی های جزئی تا متوسط کاربرد دارد، عملکرد و زیبایی ظاهر دندان را باز میگرداند
مراحل لمینت دندان شکسته
حال که با لمینیت دندان شکسته آشنا شدید، احتمال این سوال نیز برایتان ایجاد شده است که چگونه این روش انجام می شود؟ در ادامه مراحل لمینیت دندان های شکسته را عنوان نموده ایم.
مشاوره
ابتدا وضعیت دندان شکسته مورد بررسی قرار میگیرد. علاوه بر معاینه ی بالینی لازم است تا تصاویری با اشعهی ایکس از دندان شکسته شده تهیه شود تا میزان آسیب وارد به اعصاب ارزیابی شود. در صورتی که کاندید مناسب لمینت دندان باشید میتوانید برای ادامهی درمان مراجعه نمائید.
آماده سازی دندان شکسته
دندان شکسته شده طی مراحلی باید برای لمینت کردن آماده شود. ۰.۳ الی ۱.۲ میلی متر از ضخامت مینای دندان از سطح دندان شکسته شده جدا میشود. ضخامت مینای برداشته شده برابر با ضخامت لمینت دندان است که روی دندان قرار خواهد گرفت.
در این مرحله ممکن است مقداری احساس درد داشته باشید. اگر شدت درد شدید باشد از بیحسیهای موضعی استفاده میشود.
سپس یک قالب از دندان شکسته شده تهیه میشود و به آزمایشگاه فرستاده میشود تا لمینت آماده شود. معمولاُ دو تا چهار هفته زمان لازم است تا لمینت دندان آماده شود. در این فاصله ممکن است روکشهای موقت روی دندان شما قرار داده شود.
بیشتر بخوانید: لمینت دندان جلو؛ روش اجرا و مزایا
قرار دادن لمینت
در آخرین جلسه اگر روکش موقت روی دندان شما وجود داشته باشد این روکش برداشته میشود و لمینیت روی دندانی که دچار شکستگی شده، نصب میشود. رنگ لمینت متناسب با رنگ سایر دندانها خواهد بود تا هیچ گونه تغییر رنگی بین دندان لمینت شده و سایر دندانها وجود نداشته باشد.
برای نصب، ابتدا دندان شکسته شده به طور کامل تمییز میشود، سپس با فرآیند اچ کردن، سطح آن ها کمی زبر میشود تا پیوند بین دندان شکسته شده و لمینیت به خوبی ایجاد شود. در مرحلهی بعد مواد باندینگ روی سطح دندان شکسته شده قرار میگیرد، سپس لمینت روی این لایه قرار خواهد گرفت. بعد از اینکه لمینت در مکان درست قرار گرفت با استفاده از پرتو نور لیزر مخصوص، پیوند بین مواد باندینگ و دندان سفت میشود.
مراقبت از لمینیت دندان شکسته

لمینت دندان، روکشهای نازکی هستند که روی دندان قرار میگیرند. این روکشها در عین حال که نازک هستند از مقاومت بالایی برخوردارند با این وجود ممکن است دچار شکستگی و آسیب شود. میزان مقاومت لمینیت نسبت به دندانهای طبیعی کمتر است بنابراین لازم است بیشتر از دندانهای طبیعی خود از لمینت دندان شکسته مراقبت نمائید.
در ادامه به تعدادی از روش های مراقبت از لمینیت دندان شکسته از نظر بهترین دکتر لمینت دندان در تهران اشاره مینمائیم:
- رعایت بهداشت دهان و دندان: بعد از هر وعدهی غذایی از خمیردندان غیرساینده و مسواک نرم برای تمییز کردن سطح دندانها استفاده کنید. استفاده از نخ دندان نیز پس از هر وعدهی غذایی میتواند احتمال پوسیدگی را کاهش دهد.
- استفاده از دهانشویههای آنتی باکتریال بدون الکل نیز در سلامت دندانها و مراقبت از لمینت دندان شکسته موثر است.
- استفاده از محافظ دندان: دندان قروچه در شب میتواند به لمینت دندان شکسته آسیب وارد کند به همین دلیل توصیه میشود در صورتی که عادت به دندان قروچه دارید شبها از محافظ دندان استفاده کنید.
- همچنین در هنگام شرکت در ورزشهایی که احتمال ضربه و آسیب به فک وجود دارد از محافظ دندان استفاده کنید. ضربه و فشارهایی که به لمینیت دندان شکسته وارد میشود علاوه بر اینکه میتواند باعث شکسته شدن و یا ترک لمینت شود، در برخی موارد باعث شکستگی مجدد در دندان نیز میشود.
- رعایت رژیم غذایی: برای اینکه لمینت دندان شما همواره تمییز و بدون لکه باقی بماند از مصرف نوشیدنیهای و مواد غذایی رنگی خودداری نمائید.
- مصرف مواد غذایی سفت مانند آجیل، آب نبات و سایر مواد نیز باید با احتیاط انجام شود تا لمینت دندان دچار ترک و یا شکستگی نشود.
- به صورت دورهای معاینات دندانپزشکی را انجام دهید تا در صورت بروز هرگونه پوسیدگی و یا آسیب، تحت درمان مناسب قرار بگیرد.
قیمت لمینت دندان شکسته + عوامل موثر
قیمت لمینت دندان دارای شکستگی به فاکتورهای متعددی بستگی دارد. تعدادی از عوامل موثر بر قیمت این روش عبارتند از:
- تخصص و تجربه دندانپزشک
- شهر و یا منطقهای که کلینیک دندانپزشکی در آن واقع شده است.
- کیفیت مواد استفاده شده برای لمینت
- میزان آسیب به دندان شکسته و خدماتی که پیش از لمینت روی دندان شکسته شده انجام شده است.
به طور کلی قیمت لمینت دندان شکسته شده حدودا بین ۶ تا ۱۴ میلیون تومان است که بستگی به میزان شکستگی دندان و نوع برند انتخابی لمینت دارد.
همچنین برای برآورد هزینههایی که جهت لمینیت دندان شکسته باید بپردازید لازم است ابتدا به مطب یک دندانپزشک باتجربه مراجعه نمائید. پس از بررسی و ارزیابیهای اولیه، هزینهی نهایی ترمیم و لمینت به شما اعلام می شود.
سوالات متداول لمینت دندان شکسته

لمینت دندان چگونه دندان های شکسته را ترمیم می کند؟
لمینت دندان با پوشاندن سطح آسیبدیده دندان، ظاهر طبیعی و زیبایی را بازمیگرداند. این لمینتها به طور محکم به دندان چسبیده و مقاومت و استحکام دندان را افزایش میدهند.
آیا لمینت دندان می تواند دندان های شکسته عقب را ترمیم کند؟
لمینت دندان بیشتر برای دندان های جلویی استفاده میشود که در لبخند دیده میشوند. برای دندانهای عقب، روشهای ترمیمی دیگری مانند روکشهای دندانی ممکن است مناسبتر باشند.
آیا لمینت دندان می تواند ترک های روی دندان ها را بپوشاند؟
بله، لمینت دندان می تواند ترک ها و شکستگی های جزئی روی دندان ها را پوشانده و ظاهری یکنواخت و طبیعی به آن ها بدهد.





