ضخامت کامپوزیت دندان یکی از مهم ترین فاکتورها در طبیعی دیده شدن لبخند، دوام و حفظ سلامت دندان هاست. معمولا ضخامت استاندارد کامپوزیت ونیر بین ۰.۳ و ۰.۷ میلی متر است که بسته به شرایط دندان و هدف درمان تغییر می کند. ضخامت مناسب نه تنها از ظاهر حجیم و مصنوعی دندان ها جلوگیری می کند، بلکه نقش مهمی در عملکرد صحیح فک و افزایش ماندگاری کامپوزیت دارد. در این مقاله به طور کامل به بررسی ضخامت ایده آل کامپوزیت دندان، عوامل موثر بر آن و تفاوت آن با لمینت می پردازیم.
| خلاصه تیتر ها | توضیح کوتاه و کاربردی |
| ضخامت استاندارد کامپوزیت دندان | معمولاً بین ۰٫۳ تا ۱٫۵ میلیمتر بسته به شرایط دندان و هدف درمان |
| ضخامت ایدهآل برای زیبایی | لایههای نازکتر ظاهر طبیعیتر و هماهنگتر با دندانهای واقعی ایجاد میکنند |
| ضخامت زیاد کامپوزیت | باعث ظاهر مصنوعی، برجستگی دندانها و اختلال در جویدن میشود |
| ضخامت کم کامپوزیت | میتواند موجب کاهش دوام، لبپریدگی و تغییر رنگ سریعتر شود |
| تأثیر ضخامت بر ماندگاری | ضخامت متعادل، نقش مهمی در افزایش طول عمر و استحکام کامپوزیت دارد |
| عوامل تعیینکننده ضخامت | رنگ دندان، میزان شکستگی، فرم دلخواه، نوع کامپوزیت و مهارت دندانپزشک |
| ضخامت در دندانهای جلو | معمولاً نازکتر برای حفظ شفافیت و طبیعی بودن لبخند |
| ضخامت در دندانهای عقب | معمولاً کمی ضخیمتر برای تحمل فشار جویدن |
| نقش دندانپزشک | تخصص و تجربه پزشک مهمترین عامل در تنظیم ضخامت استاندارد |
| نتیجه نهایی | ضخامت استاندارد مساوری با لبخند طبیعی، دوام بالا و سلامت دندان |
ضخامت استاندارد کامپوزیت دندان
معمولا ضخامت کامپوزیت ونیر دندان بین ۰.۳ تا ۰.۷ میلی متر است. این مقدار بسته به شرایط دندان، هدف درمان و مهارت دندانپزشک کمی کمتر یا بیشتر شود. در ادامه حداقل و حداکثر ضخامت را بررسی می کنیم:
- حداقل ضخامت کامپوزیت دندان (حدود ۰.۳ میلی متر): برای اصلاحات جزئی مانند بهبود رنگ، افزایش درخشندگی و رفع ناهماهنگی های بسیار خفیف استفاده می شود و ظاهر دندان ها کاملا طبیعی باقی می ماند.
- ضخامت متوسط و رایج کامپوزیت دندان (حدود ۰.۵ میلی متر): رایج ترین ضخامت کامپوزیت است که برای اصلاح فرم، طول و رنگ دندان ها به کار می رود و تعادل خوبی بین زیبایی و استحکام ایجاد می کند.
- حداکثر ضخامت کامپوزیت دندان ( تا ۱ میلی متر): در شرایط خاص مانند بدفرمی شدید یا فاصله زیاد دندان ها استفاده می شود تا شکل و هماهنگی دندان ها به درستی اصلاح شود.
عوامل موثر بر ضخامت کامپوزیت دندان

ضخامت کامپوزیت دندان برای همه افراد یکسان نیست و به شرایط هر فرد بستگی دارد. عواملی مانند وضعیت دندان ها، مهارت دندانپزشک و سایر شرایط دیگر که در ادامه به بررسی آن می پردازیم؛ تعیین کننده میزان ضخامت کامپوزیت هستند. انتخاب ضخامت مناسب باعث طبیعی تر شدن لبخند و افزایش ماندگاری کامپوزیت خواهد شد.
۱. وضعیت اولیه دندان ها
فرم، اندازه دندان ها، وجود شکستگی یا ساییدگی و همچنین فاصله بین دندان ها نقش مهمی در تعیین ضخامت کامپوزیت دارند. هرچه ناهنجاری های اولیه دندان بیشتر باشد، معمولا به ضخامت بیشتری از کامپوزیت نیاز است.
۲. هدف از انجام کامپوزیت
اگر هدف فقط اصلاح رنگ یا تغییرات جزئی باشد، ضخامت کامپوزیت کمتر است؛ اما برای اصلاح فرم، طول دندان ها، بستن فاصله ها یا رفع نامرتبی های خفیف، ضخامت بیشتری موردنیاز خواهد بود. به طور کلی با افزایش میزان تغییرات، ضخامت کامپوزیت نیز افزایش می یابد.
۳. مهارت و تجربه دندانپزشک
دندانپزشک ماهر با حداقل ضخامت کامپوزیت، بهترین فرم، تناسب و زیبایی را ایجاد می کند، به گونه ای که دندان ها طبیعی به نظر برسند و دچار حجم اضافی یا ظاهر مصنوعی نشوند.
بیشتر بخوانید: کامپوزیت دندان چقدر طول میکشد
۴. میزان تغییر مورنیاز در شکل و فرم دندان ها
هرچه تغییرات موردنیاز در فرم دندان ها بیشتر باشد، مانند بلندتر کردن دندان های کوتاه یا اصلاح دندان های کج، به ضخامت بیشتری از کامپوزیت نیاز دارد تا نتیجه طبیعی و متناسب ایجاد شود.
۵. نوع کامپوزیت مورد استفاده
نوع و کیفیت مواد کامپوزیتی نیز بر ضخامت نهایی تاثیرگذار است. کامپوزیت های باکیفیت، به ویژه کامپوزیت های نانوهیبرید، امکان لایه گذاری نازک تر همراه با استحکام و دوام بالاتر را فراهم می کنند و در عین حال، زیبایی و شفافیت بهتری به دندان ها می بخشند.
چرا ضخامت استاندارد کامپوزیت مهم است؟ مشکلات ضخامت زیاد کامپوزیت

ضخامت بیش از حد کامپوزیت مشکلات متعددی ایجاد می کند که توجه به آن برای نتیجه ای طبیعی و ماندگار بسیار مهم است:
ظاهر غیرطبیعی و حجیم دندان ها: کامپوزیت ضخیم باعث می شود دندان ها بزرگ و مصنوعی به نظر برسند و زیبایی لبخند کاهش یابد.
اختلال در بایت یا فک: ضخامت بیش از حد نحوه قرارگیری دندان ها را روی هم تغییر می دهد و مشکلات جویدن و فشار اضافی به دندان ها را ایجاد می کند.
افزایش احتمال لب پریدگی یا شکست: لایه های ضخیم تر بیشتر در معرض شکستگی یا لب پریدگی قرار می گیرند.
مشکل در رعایت بهداشت و دندان: ضخامت غیرمتعادل تمیز کردن و مسواک زدن دندان ها را دشوار می کند و خطر تجمع پلاک و پوسیدگی را افزایش می دهد.
رعایت ضخامت استاندارد کامپوزیت نه تنها ظاهر طبیعی و متناسب دندان ها را حفظ می کند، بلکه عملکرد صحیح بایت، دوام ترمیم و سلامت دهان و دندان را تضمین می کند.
بیشتر بخوانید: بهترین دکتر کامپوزیت در شریعتی
تاثیر تراش دندان بر ضخامت کامپوزیت
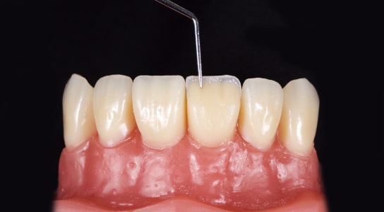
یکی از عوامل در تعیین ضخامت نهایی کامپوزیت، میزان تراش دندان است. در کامپوزیت ونیر، معمولا نیازی به تراش یا تراش جزئی وجود دارد، بنابراین کامپوزیت با ضخامت کم و طبیعی روی دندان قرار می گیرد. این ویژگی باعث می شود دندان ها حجیم و مصنوعی به نظر نرسند و ضخامت کامپوزیت در حد استاندارد باقی بماند.
در شرایطی که دندان ها جلوزده یا نامرتب باشند، دندانپزشک ممکن است تراش ملایمی انجام دهد تا ضخامت نهایی کامپوزیت بیش از حد نشود و نتیجه نهایی هم زیبا و هم طبیعی باشد. بدین ترتیب کنترل تراش دندان یکی از کلیدهای حفظ مناسب و لبخند طبیعی است.
مقایسه ضخامت کامپوزیت و لمینت دندان
| ویژگی | کامپوزیت دندان | لمینت سرامیکی |
| ضخامت نهایی | ۰.۵ تا ۱ میلی متر | ۰.۵ تا ۰.۷ میلی متر |
| تراش دندان | کم یا بدون تراش، حفظ ساختار دندان | تراش بیشتر لازم است |
| ظاهر طبیعی | ضخامت کم، دندان طبیعی دیده می شود | ضخامت بیشتر ممکن است ظاهر حجیم تر ایجاد کند |
| اصلاح فرم دندان | با ضخامت کم، فرم طبیعی حفظ می شود | فرم اصلاح می شود ولی ساختار طبیعی کاهش می یابد |
| تاثیر بر بایت | ضخامت کم بایت و جویدن را تحت تاثیر قرار نمیدهد | ضخامت بالاتر ممکن است نیاز به تنظیم بایت داشته باشد |
| قابلیت ترمیم | قابل ترمیم و تنظیم ضخامت | معمولا قابل ترمیم نیست |
نقش دندانپزشک در تعیین ضخامت کامپوزیت دندان
دندانپزشک نقش کلیدی در تعیین ضخامت مناسب کامپوزیت دارد، زیرا انتخاب درست ضخامت بر زیبایی، عملکرد و دوام دندان ها تاثیر مستقیم می گذارد. او با بررسی وضعیت دندان ها، اهداف درمانی و نوع کامپوزیت، ضخامت بهینه را مشخص می کند.
ضخامت نامناسب ممکن است باعث بیرون زدگی دندان ها، چسبندگی ناکافی یا کاهش دوام ترمیم شود، در حالی که ضخامت های نازک تر، ظاهر طبیعی تر و چسبندگی بهتر ایجاد می کنند و ضخامت بیشتر تنها در شرایطی که دندان ها، نامرتب و آسیب دیده هستند، ضروری است. دندانپزشک با استفاده از تکنیک های اندازه گیری و مشاوره با بیمار، ضخامت کامپوزیت را طوری انتخاب می کند که هم زیبایی لبخند حفظ شود و هم سلامت و عملکرد دندان ها تضمین گردد.
انداره گیری ضخامت کامپوزیت چگونه است؟
اندازه گیری دقیق ضخامت کامپوزیت دندان برای اطمینان از نتیجه طبیعی، دوام و عملکرد صحیح اهمیت زیادی دارد. انتخاب ضخامت مناسب با استفاده از روش ها و ابزارهای مختلف انجام می شود و دقت در این فرآیند به کیفیت نهایی ترمیم کمک می کند. روش های اندازه گیری ضخامت کامپوزیت؛ عبارتند از:
- کولیس (کالیپر): کولیس ابزاری برای اندازه گیری دقیق طول و ضخامت است. با قرار دادن آن روی روکش، ضخامت در چند نقطه اندازه گیری و محاسبه می شود. کولیس دیجیتال دقت بالاتر و خطای کمتری نسبت به نوع دستی دارد.
- میکرومتر: میکرومتر ابزاری بسیار دقیق برای اندازه گیری ضخامت تا هزارم میلی متر است. روکش بین دو فک کوچک ابزار قرار می گیرد و ضخامت در چند نقطه خوانده می شود تا یکنواختی سطح بررسی شود.
- فناوری اولتراسوند: با استفاده از امواج صوتی، ضخامت روکش بدون آسیب رساندن به دندان اندازه گیری می شود. این روش برای قطعات بزرگ یا دسترسی دشوار به هر دو طرف روکش بسیار کاربردی است.
استفاده از این روش ها به دندانپزشکان کمک می کند تا ضخامت کامپوزیت را بهینه کنند، ظاهر طبیعی دندان ها حفظ شود و عملکرد و ماندگاری ترمیم تضمین گردد.

نتیجه گیری
ضخامت کامپوزیت دندان نقش حیاتی در زیبایی، دوام و عملکرد دندان ها دارد و انتخاب ضخامت مناسب نیازمند بررسی دقیق توسط دندانپزشک است. با رعایت اصول استاندارد، دندان ها طبیعی تر و لبخند زیباتر خواهد شد. برای دریافت مشاوره تخصصی و تعیین ضخامت ایده آل کامپوزیت، به کلینیک دندانپزشکی برنگی مراجعه کنید. این مرکز با بررسی دقیق دندان های شما، بهترین نتیجه زیبایی و عملکرد را ارائه می دهد.
سوالات متداول
ضخامت کامپوزیت بر طول عمر روکش چه تاثیری دارد؟
ضخامت مناسب، ترکیبی از مقاومت و انعطاف پذیری را فراهم می کند، ضخامت خیلی کم ممکن است ترک بخورد و ضخامت زیاد ممکن است در برابر فشارهای طبیعی دندان آسیب پذیر باشد.
آیا ضخامت کامپوزیت دندان روی حساسیت دندان تاثیر دارد؟
بله؛ ضخامت بسیار نازک یا ضخیم هر دو باعث حساسیت موقت دندان ها می شود، این حساسیت زمانی که مینای دندان کم باشد یا تراش نامناسب انجام شده باشد، بیشتر می شود.
بیشتر بخوانید: سفید ترین رنگ کامپوزیت دندان
آیا ضخامت کامپوزیت روی رنگ و شفافیت دندان ها تاثیر دارد؟
بله؛ ضخامت زیاد رنگ طبیعی دندان را کمتر نشان می دهد و شفافیت روکش را کاهش می دهد، در حالی که ضخامت استاندارد، رنگ و درخشندگی طبیعی دندان را حفظ می کند.
آیا می توان ضخامت کامپوزیت را بعد از نصب تغییر داد؟
در بیشتر مواقع، کامپوزیت قابلیت تراش یا ترمیم جزئی دارد، بنابراین ضخامت آن برای اصلاح فرم و صاف کردن سطح کمی تغییر می کند، اما این کار باید توسط دندانپزشک ماهر انجام شود.
آیا ضخامت کامپوزیت برای دندان های جلو و عقب متفاوت است؟
بله؛ معمولا دندان های جلویی به دلیل اهمیت در زیبایی و شفافیت، ضخامت کمتری دارند، در حالی که دندان های عقب ممکن است ضخامت بیشتری برای تحمل فشار جویدن نیاز داشته باشند.






