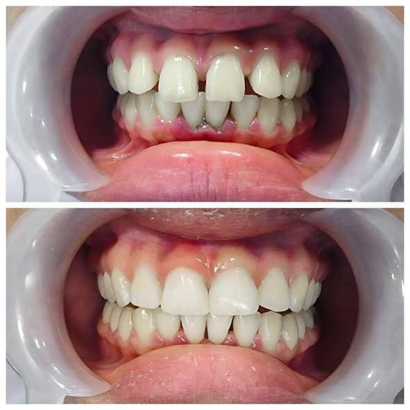
کامپوزیت ونیر با اقساط ۱۰ ماهه​ + ضمانت بهترین مواد

فقط این ماه

کامپوزیت ونیر با اقساط ۱۰ ماهه​ + ضمانت بهترین مواد

مزایا و معایب کامپوزیت دندان در سن پایین

بهترین سن برای کامپوزیت دندان

کامپوزیت دندان روشی برای زیبایی لبخند شما و فرزندتان است اما در انجام کامپوزیت دندان با محدودیت هایی هم روبرو هستیم کودکان زیر 16 سال به علت رشد فک و دهان بهتر است کامپوزیت انجام ندهند.

بهترین سن توصیه شده در دختران بالای 16 سالگی و پسران بالای 18 سالگی میباشد و همچنین بازه 20 الی 65 بهترین سن برای کامپوزیت است

نحوه تعیین سن مناسب برای کامپوزیت دندان:

  1. رشد فک‌ ها
  2. وضعیت بهداشت دهان و دندان
  3. نیازهای درمانی و زیبایی
  4. آمادگی روحی و روانی
بهترین سن مناسب کامپوزیت دندان
نکات مورد نیاز شما در یک نگاه جزئیات
حداقل سن برای کامپوزیت از نظر علمی محدودیت ندارد، اما توصیه نمی‌شود برای کودکان زیر ۱۶ سال (دختران) و ۱۸ سال (پسران) انجام شود.
بهترین سن انجام کامپوزیت دختران: ۱۶ سال به بعد

پسران: ۱۸ سال به بعد، پس از تکمیل رشد فک و دندان‌ها.

دلیل محدودیت سن پایین رشد فعال فک و دندان‌ها باعث تغییر موقعیت دندان‌ها، افزایش نیاز به ترمیم مجدد، تغییر رنگ سریع‌تر و شکستگی بیشتر می‌شود.
کامپوزیت در کودکان زیر ۱۶ سال – معایب – رشد فعال فک و دندان‌ها → احتمال نیاز به ترمیم مجدد

– نرخ شکستگی ۴۰% بالاتر

– تغییر رنگ ۳ برابر سریع‌تر

مزایای کامپوزیت در سن پایین – صرفه‌جویی اقتصادی نسبت به لمینت- درمان سریع و یک جلسه‌ای

– ترمیم آسان آسیب‌ها

– حفظ ساختار طبیعی دندان- زیبایی طبیعی و هماهنگ با دندان اصلی

– کاهش اضطراب کودک

چالش‌های کامپوزیت در سن پایین – حساسیت به ضربه و فشار- تغییر رنگ و ناهمواری دندان‌ها

– حساسیت دمایی و التهاب لثه

– نیاز به مراقبت و پیگیری منظم

– امکان نیاز به تنظیم یا تعویض با رشد فک

کامپوزیت در بزرگسالان (۲۰ تا ۶۵ سال) – ساختار دندان و فک تثبیت شده

– مراقبت‌های پس از درمان راحت‌تر

– بیشترین ماندگاری و موفقیت (تا ۱۰ سال یا بیشتر)

سن ایده‌آل بزرگسالان ۲۵ تا ۴۵ سال؛ ثبات بافتی و شرایط متابولیک مطلوب
افراد مسن (۶۵ سال به بالا) کامپوزیت قابل انجام است، به شرط داشتن دندان و لثه سالم و بدون پوسیدگی یا بیماری لثه
عوامل تعیین سن مناسب – تکمیل رشد فک و دندان‌ها

– وضعیت بهداشت دهان و دندان

– نیازهای درمانی و زیبایی

– آمادگی روحی و روانی فرد

چرا سن پایین توصیه نمی‌شود؟ رشد مداوم فک و دندان، رعایت کمتر بهداشت، افزایش احتمال آسیب‌دیدگی و نیاز به ترمیم مجدد
سوالات متداول ۱. آیا سن روی ماندگاری تاثیر دارد؟ بله، در سن پایین احتمال نیاز به ترمیم بیشتر است

۲. بهترین سن؟ اواخر نوجوانی یا اوایل بزرگسالی.

۳. افراد مسن می‌توانند انجام دهند؟ بله، در صورت سلامت دندان و لثه.

۴. دلیل توصیه نکردن سن پایین؟ رشد فک، تغییر موقعیت دندان‌ها، رعایت کمتر بهداشت.

۵. رشد فک و دندان‌ها چه تاثیری دارد؟ باعث نیاز به اصلاح یا تعویض کامپوزیت در آینده می‌شود.

چرا کامپوزیت دندان به افراد زیر سن ۱۸ سال پیشنهاد نمی‌ شود؟

آیا کامپوزیت دندان محدودیت سنی دارد؟

حداقل سن برای کامپوزیت دندان وجود ندارد اما معمولا دندانپزشکان ترجیح می ‌دهند برای کودکان از این روش استفاده نکنند. به این دلیل که رشد دهان و استخوان‌ های فک کودکان، تا سن مشخصی رشد دارد. همین موضوع سبب می‌ شود تا دندانپزشکان نتوانند از این درمان برای کودکان با سن پایین استفاده کنند.

بهترین سن برای کامپوزیت دندان

کامپوزیت دندان (dental composite) بهترین روش برای رسیدن به زیبایی دندان است اما همانطور که در قسمت قبل توضیح دادیم به علت رشد فک و استخوان های فک داندانپزشک با محدودیت رو به رو میشود اما با درنظر گرفتن توقف رشد هر جنسیت به نسبت هر سن زمان مناسب خودش را برای اقدام به کامپوزیت دندان دارد درمجموع کامپوزیت در سن ۱۶ سالگی به بعد سن استاندار برای کامپوزیت در دختران و کامپوزیت در سن ۱۸ سالگی برای پسر نوجوان میباشد

چرا کامپوزیت در ۱۶ سالگی و ۱۸ سالگی مناسب است ؟چرا کامپوزیت در 16 سالگی و 18 سالگی مناسب است ؟

از جهتی که رشد فک و دندان ها تا سن ۱۶ الی ۱۸ ادامه دارد بهترین و عاقلانه ترین تصمیم موکل کردن کامپوزیت دندان به بعد از ۱۸ سالگی میباشد زیرا رشد متوقف شده و به تکامل خود رسیده اند و احتمال ترمیم مجدد سال‌های بعد نیاز پیدا نخواهدکرد بنابراین توصیه پزشکان متخصص همچنین دکتر سیمین برنگی انجام کامپوزیت در سن بالای ۱۶ در دختران پس از تأیید تکامل فک از طریق رادیوگرافی وٰ برای پسران به دلیل تفاوت‌های رشدی ۱۸ سالگی در نظر گرفته میشود

تماس و مشاوره رایگان درباره سن شما یا فرزندتان برای کامپوزیت با دکتر سیمین برنگی

کامپوزیت دندان کودکان زیر ۱۶ سال

معایب(محدودیت‌های حیاتی) :

  • رشد فعال فک: تغییرات آناتومیک تا ۹۰% احتمال نیاز به ترمیم مجدد
  • نرخ شکستگی ۴۰% بالاتر از بزرگسالان
  • تغییر رنگ ۳ برابر سریع‌تر به دلیل متابولیسم بالا

در این گروه سنی، رشد فعال فک و دندان‌ ها به عنوان مهم‌ترین عامل محدود کننده محسوب می‌شود. مطالعات نشان می‌دهد که انجام کامپوزیت در این سنین با ریسک‌ های قابل توجهی همراه است، از جمله نیاز به ترمیم مکرر و تغییرات ظاهری ناخواسته. با این حال، در موارد اورژانسی مانند شکستگی‌ های شدید دندان، استفاده از کامپوزیت با مواد خاص و تحت نظر متخصص قابل بررسی است.

کامپوزیت دندان در افراد مسن (بزرگسالان ۲۰ تا ۶۵ سال)

کامپوزیت افراد مسن

بازه سنی ۲۰ تا ۶۵ سال به عنوان ایده‌ آل‌ ترین دوره برای انجام کامپوزیت دندان شناخته می‌شود. در این سنین، ساختار های دندانی و فکی به ثبات رسیده‌ اند و بیماران معمولاً توانایی و انگیزه کافی برای مراقبت‌ های پس از درمان را دارند. تحقیقات نشان می‌دهد که کامپوزیت انجام شده در این محدوده سنی، بالاترین نرخ موفقیت و ماندگاری را دارد.

در میان بزرگسالان، سنین ۲۵ تا ۴۵ سال از موقعیت ویژه‌ای برخوردارند. در این دوره، علاوه بر ثبات بافتی، عوامل متابولیک نیز در وضعیت مطلوبی قرار دارند که به بهبود نتایج درمان کمک می‌کند. کامپوزیت‌ های انجام شده در این سنین می‌توانند تا ۱۰ سال و گاهی بیشتر دوام داشته باشند، البته به شرط رعایت دقیق دستورالعمل‌ های مراقبتی و انجام معاینات دوره‌ای منظم.

مزایای کامپوزیت در سن پایین و کم

کامپوزیت دندان یک راه حل عالی برای جایگزینی دندان‌ های معیوب، شکسته یا خراب شده است

  • صرفه‌جویی اقتصادی: کامپوزیت نسبت به روش‌هایی مانند لمینت سرامیکی ارزان‌تر است ولی کیفیت مطلوبی دارد.
  • درمان سریع: معمولاً در یک جلسه انجام می‌شود و برای کودکان کم‌تحمل مناسب است.
  • ترمیم آسان آسیب‌ها: در صورت شکستگی یا لب‌پریدگی به‌راحتی و سریع ترمیم می‌شود.
  • حفظ دندان طبیعی: نیازی به تراش زیاد ندارد و ساختار اصلی دندان حفظ می‌شود.
  • زیبایی طبیعی: ظاهر کامپوزیت با دندان‌ طبیعی هماهنگ و غیرقابل تشخیص است.
  • کاهش اضطراب کودک: بدون روش‌های تهاجمی، تجربه درمان برای کودک خوشایندتر می‌شود.

این ویژگی‌ های منحصر به فرد باعث شده کامپوزیت دندان به عنوان روشی ایمن، مؤثر و کارآمد برای رفع مشکلات دندانی در سنین پایین مورد توجه متخصصان و خانواده‌ ها قرار گیرد. البته موفقیت درمان مستلزم انتخاب دندانپزشک مجرب و متخصص و رعایت دقیق دستورالعمل‌ های مراقبتی است.

مزایا و معایب کامپوزیت دندان در سن پایین

معایب و چالش‌های کامپوزیت دندان در سنین پایین:

در حالی که کامپوزیت دندان مزایای قابل توجهی برای کودکان و نوجوانان دارد، آگاهی از محدودیت‌ها و چالش‌های بالقوه این روش برای تصمیم‌گیری آگاهانه ضروری است. در ادامه به مهم‌ترین نگرانی‌های مرتبط با کامپوزیت در سنین پایین می‌پردازیم:

  • حساسیت به فشار فیزیکی: کامپوزیت مقاومت کمتری نسبت به ضربه دارد و در بازی‌های پرتحرک کودکانه ممکن است لب‌پر یا شکسته شود.
  • چالش‌های زیبایی‌شناختی: امکان ایجاد ناهمواری و تغییر رنگ کامپوزیت در دندان‌های جلویی، به‌ویژه با مصرف خوراکی‌های رنگی وجود دارد.
  • واکنش‌های بافتی احتمالی: برخی کودکان ممکن است دچار حساسیت موقت به دمای سرد و گرم یا التهاب لثه اطراف ترمیم شوند.
  • ملاحظات فنی و تخصصی: اجرای نادرست کامپوزیت می‌تواند باعث نفوذ رطوبت و باکتری شده و منجر به پوسیدگی مجدد گردد.
  • نیاز به مراقبت و پیگیری منظم: کامپوزیت به بررسی‌های دوره‌ای و رعایت دقیق بهداشت دهان و دندان نیاز دارد.
  • ملاحظات رشدی کودک: با رشد فک و دندان‌ها، ممکن است ترمیم نیاز به تنظیم یا تعویض پیدا کند تا با تغییرات آناتومی هماهنگ شود.

با وجود این چالش‌ها، بسیاری از این موارد با انتخاب مواد باکیفیت، اجرای حرفه‌ ای و مراقبت‌ های مناسب قابل مدیریت هستند. مشورت با متخصصان اطفال یا دندانپزشکان با تجربه در زمینه کار با کودکان می‌تواند به کاهش این نگرانی‌ها کمک کند.

هزینه کامپوزیت دندان ۱۴۰۴

نحوه تعیین سن مناسب برای کامپوزیت دندان

لازم به ذکر است تعیین سن مناسب برای انجام این روش اهمیت زیادی دارد. در ادامه به بررسی عوامل مهم در نحوه تعیین سن مناسب برای کامپوزیت دندان می پردازیم:

  • رشد فک‌ ها

یکی از مهم‌ترین عوامل تعیین بهترین سن برای کامپوزیت دندان، تکامل دندان‌ و فک‌ ها است. معمولا توصیه می‌ شود که این روش بعد از پایان رشد دندانی و فکی انجام شود. بنابراین میتوان این روش را برای دختران در سنین ۱۶ سالگی و برای پسران در سن ۱۸ سالگی انجام داد.

  • وضعیت بهداشت دهان و دندان

بهداشت دهان و دندان نقش مهمی در تعیین زمان مناسب برای کامپوزیت ونیر دندان دارد. فرد باید دارای بهداشت دهانی خوبی باشد و مشکلاتی اعم از پوسیدگی شدید، بیماری‌ های لثه و عفونت‌ های دهانی نداشته باشد.

  • نیازهای درمانی و زیبایی

برخی افراد ممکن است بنا به دلایل خاصی در سنین پایین‌ تر نیاز به کامپوزیت ونیر داشته باشند. به عنوان مثال، ترمیم شکستگی‌ های دندانی یا رفع نقص‌ های مادرزادی ممکن است نیاز به مداخلات زودتر داشته باشد. در این موارد، ابتدا باید با بهترین دندانپزشک تهران مشورت کنید تا با توجه به شرایط خاص شما عزیزان بهترین تصمیم گرفته شود.

  • آمادگی روحی و روانی

آمادگی روحی و روانی فرد نیز یک عامل بسیار مهم است. فرد باید به اندازه کافی بالغ باشد تا بتواند به درستی از دندان‌ های خود مراقبت کند و دستور العمل‌ های بهداشتی و مراقبتی پس از کامپوزیت را رعایت کند.

سفیدترین رنگ کامپوزیت ips

از چه سنی میتوان کامپوزیت دندان انجام داد؟

کامپوزیت دندان یک روش بدون درد و بدون خطر بوده، بنابراین از هر سنی میتوان آن را انجام داد. در برخی موارد ممکن است کودکان به دلیل ضربه، افتادن یا پوسیدگی دندان دچار آسیب دیدگی دندان‌ ها شوند، در این موارد می‌ تواند از کامپوزیت برای اصلاح مشکلات دندانی استفاده نمود. اما اگر کامپوزیت با هدف زیبایی دندان انجام می شود، بهتر است تا زمان رسیدن به سن ۱۸ سالگی و کامل شدن رشد تمام دندان‌ ها صبر کنید.

تا چه سنی می‌ توان کامپوزیت دندان انجام داد؟

برای کامپوزیت کردن دندان‌ ها هیچ محدودیت سنی وجود ندارد، حتی افراد بین ۶۵ تا ۷۵ سال که دندان‌ های سالمی دارند، میتوانند از کامپوزیت برای ترمیم و افزایش زیبایی دندان‌ های خود استفاده کنند. اگر کامپوزیت به قصد افزایش زیبایی دندان‌ ها انجام می‌ شود در افراد مسن باید به این نکته توجه کرد که دندان‌ ها هیچ گونه پوسیدگی یا آسیب دیدگی نداشته باشند. در صورتی که ساختار لثه و دندان برای کامپوزیت مناسب باشد تا هر سنی می‌ توان کامپوزیت را انجام داد.

تا چه سنی میتوان کامپوزیت دندان انجام داد؟

برای مشاروه تخصصی و رایگان دکتر سیمین برنگی کلیک کنید

آیا افراد مسن می‌ توانند کامپوزیت دندان انجام دهند؟

برای کامپوزیت کردن دندان‌ ها از ماده‌ ای به نام رزین استفاده می‌ شود تا آسیب‌ ها یا بدشکلی‌ های دندان ترمیم شود. کامپوزیت یک روش ایمن و بدون درد بوده که برای همه‌ ی افراد در تمام سنین مناسب است. حتی افراد مسن دارای شرایط زیر می توانند از این روش برای ترمیم و یا افزایش زیبایی دندان‌ ها استفاده کنند:

  • دندان‌ ها دچار پوسیدگی‌ های شدید نباشند.
  • ریشه‌ ی دندان‌ ها سالم باشد.
  • دچار بیماری‌ های لثه نباشند.

نتیجه گیری

با توجه به مطالب ذکر شده در بالا نتیجه می گیریم، انتخاب بهترین سن برای انجام کامپوزیت دندان به عوامل مختلفی اعم از سلامت دندان‌ ها، رعایت بهداشت دهان و دندان و سبک زندگی بستگی دارد. اگرچه از نظر علمی میتوان کامپوزیت را در هر سنی انجام داد اما انجام آن در سنین پایین به دلیل رشد مداوم فک و دندان‌ ها، بی‌ توجهی نوجوانان به مراقبت‌ ها و افزایش احتمال آسیب‌ دیدگی، توصیه نمی‌ شود. بهترین زمان برای انجام کامپوزیت دندان بعد از تکمیل رشد فک، یعنی در اواخر نوجوانی یا اوایل بزرگسالی است.

سوالات متداول

آیا سن در نتیجه و ماندگاری کامپوزیت دندان تاثیر دارد؟

بله، سن بر ماندگاری کامپوزیت تاثیر می گذارد. در سنین پایین، به دلیل رشد مداوم فک و دندان‌ ها و همچنین رعایت کمتر بهداشت دهان، احتمال آسیب‌ دیدگی و نیاز به ترمیم بیشتر است.

بهترین سن برای انجام کامپوزیت دندان چه زمانی است؟

بهترین زمان پس از تکمیل رشد فک و دندان‌ ها، یعنی در اواخر نوجوانی یا اوایل بزرگسالی است. در این سن، دندان‌ ها به ثبات بیشتری رسیده‌ اند و مراقبت‌ های بهداشتی بهتر رعایت می‌ شود.

آیا افراد مسن هم میتوانند کامپوزیت دندان انجام دهند؟

بله، کامپوزیت دندان محدودیت سنی ندارد. افراد مسن در صورت داشتن لثه‌ ها و دندان‌ های سالم و بدون پوسیدگی یا بیماری لثه می‌ توانند از این روش برای بهبود زیبایی لبخند خود استفاده کنند.

چرا کامپوزیت دندان در سنین پایین توصیه نمی‌ شود؟

در کودکان و نوجوانان به دلیل رشد مداوم استخوان فک، احتمال تغییر موقعیت دندان‌ ها وجود دارد. همچنین رعایت کمتر بهداشت و عادات غذایی نامناسب منجر به کاهش ماندگاری کامپوزیت می شود.

آیا رشد فک و دندان‌ ها میتواند روی نتیجه کامپوزیت تاثیر بگذارد؟

بله، اگر کامپوزیت دندان در سنین پایین انجام شود، رشد مداوم فک باعث تغییر موقعیت دندان‌ ها می شود، در نتیجه نیاز به اصلاح یا تعویض کامپوزیت در آینده افزایش می یابد.

تایید شده توسط: دکتر سیمین برنگی

دکتر سیمین برنگی

دکتر سيمين برنگی متخصص دندانپزشكی ترميمی و زيبايی و عضو هيئت علمی دانشكده دندانپزشكی دانشگاه تهران می باشند. دکتر سیمین برنگی دارای بیش از ٨ سال سابقه در زمینه دندانپزشکی زیبایی و ترمیمی بوده و با روشهای نوین و متدهای جدید در این زمینه مشغول به فعالیت هستند.

دکتر سیمین برنگی

فرم مشاوره رایگان

آخرین مطالب
به ما در جهت بهتر شدن امتیاز دهید.
دیدگاهتان را بنویسید

نشانی ایمیل شما منتشر نخواهد شد. بخش‌های موردنیاز علامت‌گذاری شده‌اند *

جستجو